
|
正常画像と並べてわかる
救急画像
時間経過で理解する
|
上記の書籍について,訂正箇所等がございました。訂正し,お詫び致します.
お手数をお掛けしますが,お手持ちの本に訂正箇所を書き込んでお使いいただきますよう,お願い申し上げます.
※正誤表の掲載日以降に増刷された書籍では修正済となっております
■ 新規追加(2008/6/17)
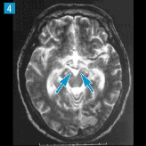
▲112ページ 正常画像内(2008/6/17)
※3の引き出し線の位置が異なっていました(下は修正済みの画像です.青線で示しています)
| ● |
 |
▲112ページ(2008/6/17)
構造部位の名称中,3に誤りがございました
| × |
1 肺動脈幹(pulmonary trunk) |
| ● |
1 左心耳(left auricula) |
■ 全正誤表
▲28ページ 正常画像内(2007/2/5)
※3の引き出し線の位置が異なっていました(下は修正済みの画像です.青線で示しています)
| ● |
 |
▲28ページ 構造部位の名称中(2007/2/5)
※3番と5番が入れ替わっておりました
| × |
3脈絡叢(choroid plexus) 5脳梁膨大部(splenium) |
| ● |
3脳梁膨大部(splenium) 5脈絡叢(choroid plexus) |
▲28ページ 構造部位の名称中(2006/12/25)
※6番と7番が入れ替わっておりました
| × |
6 側脳室体部(body of lateral ventricle) 7 尾状核体部(body of caudate nucleus) |
| ● |
6 尾状核体部(body of caudate nucleus) 7 側脳室体部(body of lateral ventricle) |
▲39ページ 所見欄 3行目(2007/2/5)
| × |
….また,左側頭部の硬膜下に… |
| ● |
….また,右側頭部の硬膜下に… |
▲67ページ 所見欄 4行目(2007/2/5)
| × |
また,左の側脳室前角が圧排を受け… |
| ● |
また,右の側脳室前角が圧排を受け… |
▲81ページ 所見欄 4行目(2007/2/5)
| × |
….Diffusion,T2などで… |
| ● |
….Diffusion,T1などで… |
▲87ページ 経時的変化 4番目の画像内(2007/2/5)
※矢印の位置,数が誤っておりました(下は修正済みの画像です)
| ● |
 |
▲103ページ 所見欄 下から2行目(2007/2/5)
| × |
右胸腔ドレナージ抜去後に気胸が再発します |
| ● |
右胸腔ドレナージ抜去後に気胸が再発しています |
▲112ページ 正常画像内(2008/6/17)
※3の引き出し線の位置が異なっていました(下は修正済みの画像です.青線で示しています)
| ● |
 |
▲112ページ(2008/6/17)
構造部位の名称中,3に誤りがございました
| × |
1 肺動脈幹(pulmonary trunk) |
| ● |
1 左心耳(left auricula) |
▲112ページ(2008/6/4)
構造部位の名称中,1に誤りがございました
| × |
1 左右心室(right ventricle) |
| ● |
1 右肺動脈幹(pulmonary trunk) |
▲113ページ 所見欄 5行目(2007/2/5)
| × |
…左主肺動脈内血栓も… |
| ● |
…右主肺動脈内血栓も… |
▲114ページ 構造部位の名称中(2007/2/5)
※1,3,7がそれぞれ入れ替わっておりました
| × |
1 右主気管支(right main bronchi) 3 胸骨(sternum) 7 左主気管支(left main bronchi) |
| ● |
1 胸骨(sternum) 3 左主気管支(left main bronchi) 7 右主気管支(right main bronchi) |
▲130ページ 正常画像内(2007/2/5)
※7の引き出し線の位置が誤っておりました(下は修正済みの画像です.青い線で示しています)
| ● |
 |
▲143ページ 経時的変化2番目の画像の所見欄(2007/2/5)
※引用矢印を入れ替え(下は修正済みの画像です)
| ● |
 |
▲143ページ 経時的変化 3番目の画像内および所見欄(2007/2/5)
※矢印の追加と位置の修正(下は修正済みの画像です)
| ● |
 |
▲182ページ 構造部位の名称中,7(2007/2/5)
| × |
7 左肝静脈(left hepatic vein) |
| ● |
7 右肝静脈(right hepatic vein) |
▲188ページ 正常画像内(2007/2/5)
※11の引き出し線の位置が誤っておりました(下は正しい画像です.青線で示しています)
| ● |
 |
▲221ページ 所見欄 5行目(2007/2/5)
| × |
…白苔は縮小し,H3 stage… |
| ● |
…白苔は縮小し,H2 stage… |
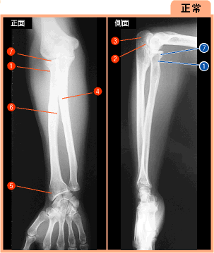
▲258ページ 正常画像内(2007/2/5)
※正面:3の引き出し線を追加,側面:3の引き出し線を修正(下は修正済みの画像です.青い線で示しています)
| ● |
 |
▲260ページ 正常画像 側面 内(2007/2/5)
※1の引き出し線を修正,7の引き出し線を追加(下は修正済みの画像です.青い線で示しています)
| ● |
 |
(C) YODOSHA CO., LTD. All Rights Reserved.
|