スライド式閲覧
一覧式閲覧
1枚の画像
>
症例番号順
症状・主訴別
診断名別
臓器別
診療科別
難易度別
ランダム
>
トップへ
1
2
3
4
5
6
7
8
9
10
11
12
13
14
15
16
17
18
19
20
21
22
23
24
25
26
27
28
29
30
31
32
33
34
35
36
37
38
39
40
41
42
43
44
45
46
47
48
49
50
51
52
53
54
55
56
57
58
59
60
61
62
63
64
65
66
67
68
69
70
71
72
73
74
75
76
77
78
79
80
81
82
83
84
85
86
87
88
89
90
91
92
93
94
95
96
97
98
99
100
腹痛
腹痛・嘔吐
腹痛・下痢
腹痛・発熱
下血
腹痛・発熱・嘔吐
発熱
ショック
息切れ
腹痛・ショック
腹痛・下痢・嘔吐
嘔吐
腹痛・下血
下痢・発熱
発熱・嘔吐
ショック・発熱
トップへ
1
2
3
4
5
6
7
8
9
10
11
12
13
14
15
16
17
18
19
20
21
22
23
24
25
26
27
28
29
30
31
32
33
34
35
36
37
38
39
40
41
42
43
急性胆嚢炎
急性胆嚢炎:胆嚢周囲膿瘍
急性胆嚢炎:胆嚢周囲膿瘍、穿孔
総胆管結石:胆管炎
総胆管結石:急性化膿性胆管炎
総胆管結石:大きな総胆管結石
急性膵炎
急性膵炎:膵壊死
慢性膵炎:急性増悪
胃潰瘍穿孔
十二指腸潰瘍穿孔
十二指腸潰瘍穿孔:骨盤膿瘍
小腸異物:魚骨、穿孔
小腸異物:魚骨、膿瘍
小腸憩室炎:穿孔、多発小腸憩室
小腸閉塞:バンド
小腸閉塞:バンド、出血壊死
小腸閉塞:腫瘍(リンパ腫)、穿孔
小腸閉塞:鼠径ヘルニア嵌頓、壊死穿孔
小腸閉塞:内ヘルニア(左傍十二指腸)
小腸閉塞:内ヘルニア(大網裂孔)
小腸閉塞:内腔閉塞、食餌
小腸閉塞:癒着、穿孔
特発性小腸穿孔
偽膜性腸炎
宿便性腸穿孔:憩室合併:糞塊流出
宿便性大腸穿孔
虚血性大腸炎
大腸異物:魚骨穿孔:憩室あり
大腸憩室炎
大腸憩室炎:傍虫垂炎
大腸憩室出血
大腸癌
大腸癌:食道裂孔ヘルニア
大腸癌:閉塞性大腸炎
大腸癌:閉塞性大腸炎/回腸炎、穿孔
虫垂炎
虫垂炎:淡い虫垂結石
虫垂炎:膿瘍
虫垂炎:膿瘍形成
虫垂炎:破裂して虚脱、膿瘍形成
S状結腸捻転
S状結腸憩室炎穿孔
S状結腸憩室穿孔:膿瘍
上腸間膜動脈閉塞症
上腸間膜静脈閉塞症
上腸間膜動脈瘤
上腸間膜動脈瘤(閉塞)
非閉塞性腸間膜梗塞症(NOMI)
感染性大動脈瘤
大動脈解離:腸管虚血
腹部大動脈瘤破裂
膵周囲血腫
肺塞栓:深部静脈血栓
肝細胞癌破裂
肝膿瘍
肝膿瘍:化膿性胆管炎
脾、腎梗塞
腎盂腎炎
腎梗塞
腎膿瘍
感染性腎嚢胞
尿管結石
尿管結石:尿溢流
結石性腎盂腎炎
膀胱破裂
卵巣腫瘍茎捻転
卵巣腫瘍茎捻転:奇形腫
卵巣腫瘍破裂
卵巣腫瘍破裂:奇形腫破裂
卵巣出血
子宮留膿腫
骨盤腹膜炎
骨盤腹膜炎:肝周囲炎(卵管膿瘍)
骨盤腹膜炎:放線菌症(actinomycosis )
トップへ
1
2
3
消化器
消化管
消化管(血管)
血管
肺・血管
肝臓
脾・腎
腎
腎・尿管
膀胱
卵巣
子宮
子宮付属器
トップへ
1
2
3
4
5
6
7
8
9
10
11
12
13
14
15
消化器科(内科・外科)
消化器内科
消化器外科
内科
血管外科
泌尿器科
婦人科
トップへ
1
2
3
4
5
6
7
8
9
10
11
12
13
14
15
16
17
初級
上級
トップへ
1
2
3
4
5
6
7
8
9
10
11
12
13
14
15
16
17
18
19
20
21
22
23
24
25
26
27
28
29
30
31
32
33
34
35
36
37
38
39
40
41
42
43
44
45
46
47
48
49
50
???
【現在のページ】
>
ランダム
>
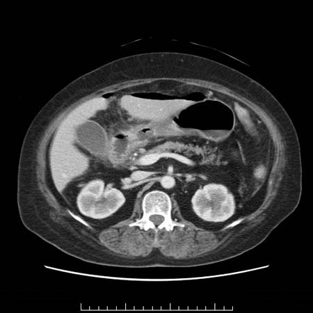
57歳 女性
臨床情報・診断の手がかりをご覧になりたい場合は,左のボタンをクリックしてください
xxxx
xxxxx
診断結果は?
正しい診断はどれでしょうか?正しいと思う診断名をチェックしてください
©2007 YODOSHA CO., LTD. All Rights Reserved.