第5章 腹部画像診断ドリル
症例1.閉塞性肥大型心筋症で通院中の70歳代男性
黒岩大地
(福島県立医科大学放射線科)
70歳代男性.閉塞性肥大型心筋症で定期受診中.数年前に植込み型除細動器(implantable cardioverter defibrillator:ICD)を植込み済.数日前より便秘,腹部膨満感,腹痛があり来院.腸閉塞が疑われ,精査のために単純CTが撮影された.
異常所見は?
確認すべき臨床情報は?
考えられる診断は?
1読影のポイント
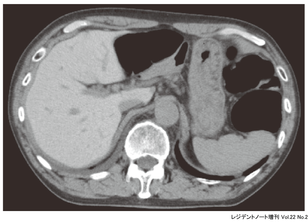
単純CTで肝実質がびまん性に高吸収に描出されている.肝実質と門脈(図1▶︎),IVC(inferior vena cava:下大静脈,図1︎▶)とのコントラストが増強しており,脾臓(図1︎ S)と比較しても肝実質が高吸収になっていることがわかる.びまん性に濃度変化を生じていると,一目では変化に気がつかないことがある.比較画像がある場合はその画像との対比を,比較画像がない場合には周囲にある構造と濃度を比較することで,変化や異常に気がつきやすくなる.今回の場合では,肝実質と肝内血管の濃度差,肝実質と脾臓の濃度差に気がつけるかどうかが最大のポイントとなる.
この症例では,ICDの植込み歴があり,アミオダロン肝と診断された.塩酸アミオダロンは抗不整脈薬の1つで,脂溶性のため,脂肪組織や肺,膵臓,肝臓,心臓,腎臓に蓄積されることが知られている.ヨードを含有しているため,肝臓に蓄積すると肝実質が高吸収を示す.
2鑑別診断
単純CTで肝臓がびまん性に高吸収になる場合,原子番号が高い元素(鉄,金,銅,ヨードなどの金属)や高分子化合物が沈着していることが考えられる.鉄が蓄積するヘモクロマトーシス/ヘモジデローシス,銅が沈着するWilson病などが疾患としては有名である.これらは画像のみでの鑑別は難しく,臨床情報が非常に重要となる.
3次の一手
診断には臨床情報が非常に重要である.特に内服薬や既往歴,頻回の輸血がないかどうかの確認が重要となってくる.既往に不整脈やペースメーカー/ICDの植込みがある場合にはアミオダロン内服によるアミオダロン肝の可能性を,鉄剤の内服や静注などがある場合にはヘモクロマトーシス/ヘモジデローシスを考慮する必要がある.
図2︎にヘモジデローシスの症例を示す.アミオダロン肝と同様に,肝臓がびまん性に高吸収になっており,肝内血管(図2*)とのコントラストが増強している.この症例では,頻回の輸血歴があり,血清フェリチン値も高値(>1,000μg/dL)を示しており,輸血後鉄過剰症と診断されている.ヘモクロマトーシス/ヘモジデローシスの診断にはMRIが有用で,鉄の沈着を反映して,T2強調像やT2*強調像で信号低下がみられる.
アミオダロンは心室細動,心室頻拍や心不全(低心機能)または閉塞性肥大型心筋症に伴う心房細動などの再発性不整脈において他の抗不整脈薬が無効,または使用できない場合に使用される薬剤である.非常に有効な薬剤である反面,肺(間質性肺炎,肺線維症,肺胞炎),心臓(既存の不整脈の重度の悪化,Torsades de pointes,心不全,徐脈,完全房室ブロックなど),肝臓(劇症肝炎)などの致死的となりうる副作用が報告されている.
アミオダロン肝は除外診断であるためで1),血液生化学検査によるトランスアミナーゼや肝炎ウイルスの検査などその他の原因による肝疾患の精査を消化器内科など専門医に依頼する必要がある.肺野病変を認める場合も呼吸器内科など専門医に紹介する.また,副作用の発現が疑われた場合,重篤化すると致死的となる可能性もあるため,処方医にアミオダロンの必要性について再検討を依頼し,肝臓,肺などの専門医と連携して薬剤量を調整してもらうように依頼する.
文献:1)Hussain N, et al:Amiodarone-induced cirrhosis of liver:what predicts mortality? ISRN Cardiol, 2013:617943, 2013
肝実質がびまん性に高吸収になっている
アミオダロンや鉄剤の内服歴,頻回の輸血歴などがないかを確認する
アミオダロン肝
文献・参考文献
- 「肝胆膵の画像診断-CT・MRIを中心に-」(山下康行/編著),学研メディカル秀潤社,2010
- 「腹部のCT第3版」(陣崎雅弘/編),メディカル・サイエンス・インターナショナル,2017
- 「肝胆膵のCT・MRI」(本田 浩,他/編),メディカル・サイエンス・インターナショナル,2016
- 「肝の画像診断 画像の成り立ちと病理・病態 (第2版)」(松井 修,他/編著),医学書院,2019
画像診断ドリル
救急医と放射線科医が伝授する適切なオーダーと読影法
- 5,170円(本体4,700円+税)
- 在庫:あり



