第15章 内分泌系
2 副腎
Adrenal gland
副腎は腎臓の上部に張りつくように存在する内分泌腺で腎上体(suprarenal body)ともよばれる.副腎の体積の75~90%を占める副腎皮質(adrenal cortex)とその中心部に分布する副腎髄質からなる.
副腎皮質の構造は,形態的な特徴,分布,細胞の染色性などの違いにより,球状帯,束状帯,網状帯の3層に分けられる.下垂体から分泌される副腎皮質刺激ホルモンにより,副腎皮質からのホルモン分泌が促進される.球状帯からは体液の塩分と水分のバランスの調節にかかわる鉱質コルチコイド(mineralocorticoid)と総称されるステロイドホルモンが分泌される.その中心はアルドステロンである.束状帯からは代謝や免疫機能の調節,抗ストレス作用などにかかわる糖質コルチコイド(glucocorticoid)と総称されるいくつかのステロイドホルモンが分泌される.その中心はコルチゾール(cortisol)である.そして,網状帯からはアンドロゲンと卵胞ホルモンなどの性ホルモン(sex hormone)が分泌される.
副腎髄質にはアドレナリンを分泌するA細胞とノルアドレナリンを分泌するNA細胞が存在する.それらのホルモンはカテコールアミン(catecholamine)と総称される.それらの細胞に含まれる分泌顆粒は重クロム酸カリウム(K2Cr2O7)を含んだクロム染色液で褐色に染まるので,一般に,クロム親和性細胞ともよばれている.髄質から分泌されるカテコールアミンは,血圧上昇,気管支拡張,消化管運動抑制,血糖値上昇など,ストレスに対応する作用を引き起こす.
副腎髄質まで伸びた交感神経の終末からアセチルコリンが分泌されると,クロム親和性細胞からカテコールアミンが分泌される.この現象は副腎髄質が交感神経節でクロム親和性細胞が交感神経の節後ニューロンと考えると理解しやすい.つまり,交感神経系では節前ニューロンの終末からアセチルコリンが分泌され,交感神経節の節後ニューロンからカテコールアミンが分泌されて情報が伝達されるからである.実際に,副腎髄質には神経節に分布する神経細胞とその周囲を取り巻くサテライトグリア細胞なども見られる.
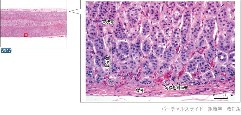
VS47では副腎の断面を観察する.
ホルモンの分泌周期
ホルモンの分泌には一定の周期で分泌量が変化する拍動性分泌(pulsatile secretion)とよばれる現象がある.例えば,下垂体から分泌される成長ホルモンは睡眠中に2〜3時間の周期で,そして,副腎皮質刺激ホルモン(adrenocorticotropic hormone)やメラトニンなどは24時間の周期で変化する.長いものでは,黄体形成ホルモンや卵胞刺激ホルモンなどのように約28日の周期で変化する.このような周期的な分泌量の変化は,性周期を調節する性ホルモンなどではとりわけ重要である.
A被膜
副腎を包んでいる線維性の被膜には細動脈の血管網が分布する.その細動脈から分枝し,副腎皮質を貫いて副腎髄質に向かう血管は2種類ある.その一つは,副腎皮質のホルモンを受け取りながら副腎髄質に向かう洞様毛細血管で,もう一つは副腎皮質を素通りして副腎髄質に向かう貫通動脈(perforating artery)である.写真は被膜を示す.
ストレスホルモン
ヒトの体はストレスを感じると,副腎からコルチゾールやカテコールアミンなどのホルモンを分泌する.これらのなかで,体のほぼすべての組織や器官に作用するコルチゾールはストレスに対応するために必須のホルモンである.コルチゾールには,血糖値を上げてエネルギーの生産を増やすとともに,消化,生殖,免疫などの非必須機能を抑制し,差し迫った問題に体のリソースを振り向けるように調節する役割がある.ストレスに反応して分泌されるこれらのホルモンは,まとめてストレスホルモン(stress hormone)とよばれている.
B副腎皮質
副腎皮質は副腎の体積のほとんどを占め,細胞が球状の塊に集合した球状帯,細胞が洞様毛細血管と平行に配列した束状帯,そして,細胞が網目状に分布する網状帯の3層からなる.束状帯が副腎皮質全体の体積の約80%を占め,各層の細胞は洞様毛細血管にホルモンを分泌する.写真は皮質を示す.赤く見えるのは洞様毛細血管である.
C球状帯
球状帯(zona glomerulosa)は塩基好性の細胞で鉱質コルチコイドを分泌する.鉱質コルチコイドのなかのアルドステロンは,腎臓の尿細管に作用して原尿から水分やNa+の再吸収を促進したりK+の再吸収を抑制したりして,体液の浸透圧を調節する.写真は球状帯を示す.
D束状帯
束状帯(zona fasciculata)は副腎皮質を構成する3層のなかで最も厚く,比較的に大型の細胞で構成される.糖質コルチコイドを分泌する束状帯の細胞は多くのミトコンドリアを含む酸好性の細胞である.写真は束状帯を示す.
ご覧ください

