今日から使える 腹部CT読影ガイド

異常所見を見逃さないための系統的読影法

  • 沖 達也/著,山﨑道夫/監
  • 2024年03月28日発行
  • A5判
  • 236ページ
  • ISBN 978-4-7581-2414-0
  • 4,400(本体4,000円+税)
  • 在庫:あり
本書を一部お読みいただけます
  • 膀胱全体の形態を確認し,尿管開口部や頂部にも目を配ろう
  • Check Points:壁肥厚/隆起性病変,サイズ,内容物,尿膜管遺残の有無…
続きを読む
PDFダウンロード

「腹部CTの読影?ちょっと苦手…」そんなあなたにおすすめ!読影時の目の動かし方や各臓器のチェックポイントで「漫然と読影」を抜け出し,効率よく,見落としなく読影するための一歩を踏み出せます!

目次

● 序【沖 達也】

第0章 系統的読影法のススメ「腹部さんぽmap」

▶ 読影の4D

読影の段階

▶ 腹部さんぽmap

観光マップのように効率よく臓器を回ろう
スネークキューブのように連続性をもつ
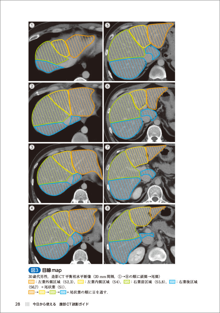
第1章 肝臓の歩き方

▶ 解剖 ▶ 目線map

サイズ

肝腫大 急性肝炎,うっ血肝
肝萎縮 肝硬変

吸収値

高吸収 鉄過剰症:ヘモクロマトーシス,ヘモジデローシス,アミオダロン肝
低吸収 脂肪肝

胆管拡張

[pitfall] periportal collar sign

肝内ガス

腫瘤

腫瘍 肝嚢胞,肝血管腫,肝細胞癌(HCC),転移性肝腫瘍
感染 肝膿瘍
第2章 胆嚢・胆管の歩き方

▶ 解剖 ▶ 目線map

サイズ

胆嚢腫大 急性胆嚢炎
胆嚢萎縮 慢性胆嚢炎

内容物

胆嚢結石,胆道出血
[pitfall] 偽胆石
[memo] 胆泥・濃縮胆汁とヨード造影剤胆嚢内貯留

壁肥厚・隆起性病変

胆嚢腺筋腫症,胆嚢ポリープ,胆嚢癌

総胆管・肝内胆管拡張

総胆管結石,肝外胆管癌
第3章 膵臓の歩き方

▶ 解剖 ▶ 目線map

サイズ

膵腫大 急性膵炎,急性膵炎の合併症,自己免疫性膵炎
膵萎縮 慢性膵炎

腫瘤

乏血性腫瘤 膵癌
多血性腫瘤 神経内分泌腫瘍(NET)
嚢胞性病変 膵管内乳頭粘液性腫瘍(IPMN)
第4章 脾臓の歩き方

▶ 解剖 ▶ 目線map

サイズ

脾腫

腫瘤

脾血管腫,脾過誤腫,嚢胞性病変
[memo] モアレ像
[pitfall] 脾梗塞

脾門部構造

脾動脈瘤,膵内副脾
[memo] 副脾
第5章 副腎の歩き方

▶ 解剖 ▶ 目線map

サイズ

副腎皮質過形成,両側副腎皮質大結節性過形成(PBMAH)

腫瘤

副腎腺腫,褐色細胞腫,副腎転移,副腎リンパ腫
第6章 腎臓・尿管の歩き方

▶ 解剖  ▶ 目線map

サイズ

急性腎盂腎炎
[pitfall] 腎梗塞

腫瘤

単純性腎嚢胞,非定型腎嚢胞,常染色体優性多発性嚢胞腎(ADPKD),腎細胞癌,腎血管筋脂肪腫(AML)
[memo] Bertin柱の肥厚と腎葉異型(renal lobar dysmorphism)

腎盂・尿管拡張

尿管結石,腎盂癌・尿管癌
[pitfall] 傍腎盂嚢胞

結石・石灰化

第7章 膀胱の歩き方

▶ 解剖  ▶ 目線map

壁肥厚/隆起性病変

びまん性 慢性膀胱炎
局所(腫瘤)性 膀胱癌
[memo] 膀胱憩室

サイズ

神経因性膀胱

内容物

高吸収貯留物 膀胱結石,出血
ガス 気腫性膀胱炎
[memo] 造影剤の膀胱内排泄 医原性のガス貯留

尿膜管遺残

感染性尿膜管洞
第8章 前立腺の歩き方

▶ 解剖  ▶ 目線map

サイズ

前立腺肥大症,前立腺癌,前立腺膿瘍
第9章 子宮・卵巣の歩き方

▶ 解剖 ▶ 目線map

子宮のサイズ・腫瘤

子宮筋腫,子宮腺筋症

子宮内腔の貯留物

卵巣のサイズ・腫瘤

正常卵胞・機能性嚢胞・傍卵巣嚢腫,成熟奇形腫,子宮内膜症性嚢胞(卵巣チョコレート嚢胞),その他の腫瘍性病変

出血・破裂・捻転(婦人科の急性腹症)

卵巣出血,異所性妊娠,卵巣腫瘍破裂,卵巣/卵管捻転(付属器捻転)
第10章 下部消化管の歩き方

▶ 解剖 ▶目線map

小腸・大腸の壁肥厚・腫瘤

感染性腸炎,虚血性腸炎,結腸憩室炎,憩室出血,虫垂炎,炎症性腸疾患,大腸癌

腸管拡張

絞扼性腸閉塞,単純性腸閉塞,ヘルニア,腸重積,イレウス
[pitfall] 腸管の血管病変

腸間膜・リンパ節

腸間膜脂肪織炎,リンパ節転移,癌性腹膜炎
第11章 上部消化管の歩き方

▶ 解剖 ▶目線map

壁肥厚・腫瘤

食道 食道癌,食道静脈瘤・胃静脈瘤
 胃癌,胃粘膜下腫瘍,急性胃粘膜病変(AGML)
十二指腸 十二指腸潰瘍
[memo] CT時の発泡剤内服 腸回転異常症
[pitfall] 十二指腸傍乳頭部憩室

上部消化管拡張

食道裂孔ヘルニア,異物誤嚥
第12章 血管・リンパ節の歩き方

▶ 解剖 ▶目線map

血管径の拡大

大動脈瘤,内臓動脈瘤,大動脈解離(解離性大動脈瘤)

主要分岐血管の途絶

上腸間膜動脈閉塞症(SMA閉塞症),正中弓状靭帯圧迫症候群(MALS)と内臓動脈瘤

リンパ節腫大

リンパ節転移,悪性リンパ腫,IgG4関連疾患
第13章 肺野・骨軟部の歩き方

▶ 目線map

肺野の観察

[pitfall] 肺野の重力効果

骨・軟部の観察

骨転移,化膿性脊椎椎間板炎
[memo] 骨島,骨折後変化 変性による変化:vacuum phenomenon とSchmorl 結節
[pitfall] 脊髄硬膜外血腫
付録1 腹部外傷の画像

▶ 腹部臓器損傷

肝損傷
膵損傷
脾損傷
腎損傷
腸管・腸間膜損傷
付録2 造影剤のはなし

▶ 造影CT検査の一般事項

造影検査による利点 臓器コントラストの向上,血管内コントラストの向上
造影剤の種類
副作用 アナフィラキシー,腎機能低下
禁忌・相対禁忌 ヨード造影剤の過敏症,気管支喘息,褐色細胞腫(の疑い)
検査前の注意点 検査前の飲食について,内服薬剤の確認
[memo] 熱感 禁忌・相対禁忌だが造影CTを施行したい場合
合併症

▶ ダイナミック造影CT

撮影のタイミングの基本
各臓器に適した時相
各時相の特徴
付録3 CTのちょっとした原理とその「のぞき窓」

▶ CTの原理

▶ CTの「のぞき窓」:ウインドウレベルとウインドウ幅

● あとがき〜監修の言葉〜【山﨑道夫】

● 索引

書評・感想
  • 書評 『初学者にぜひ通読してもらいたい1冊』 渡邉嘉之(滋賀医科大学放射線医学講座 教授)

    多くの教科書では,疾患ごとに所見や画像が記載されていますが,読影法を詳細に説明しているものは少ない.本書は腹部CTの読影法に焦点を当てた著作であり,研修医や学生の皆さんにぜひ読んでいただき,明日からの診療に実践していただきたい内容となっています. …

    続きを読む

購入方法・送料について

本書は全国の羊土社取扱書店にてご購入いただけます.店頭にて見当たらない場合は,下記情報を書店にお伝え下さい.

  • 【本書名】今日から使える 腹部CT読影ガイド〜異常所見を見逃さないための系統的読影法
  • 【出版社名】羊土社

お近くに取扱書店が無い場合,特に海外でご覧になりたい場合,羊土社HPでのご注文および発送も承っておりますので,下記ご参照のうえ,注文をご検討ください.

羊土社HPでのご注文について

本書を羊土社HPにてご購入いただきますと,本体価格に加えて,送付先・お支払い方法などにより下記の費用がかかります.お手続き等詳細は書籍購入案内のページをご参照ください.

分類 項目 費用
国内 消費税 +400円
送料 +500円
手数料(代引きのみ) +300円
海外 航空便送料 第1地帯(アジア、グアム、ミッドウェイ等) +680円
第2地帯(オセアニア、中近東、北米、中米) +870円
第2地帯(ヨーロッパ) +870円
第3地帯(アフリカ、南米) +1130円
EMS便送料 第1地帯(アジア、グアム、ミッドウェイ等) +1400円
第2地帯(オセアニア、中近東、北米、中米) +2000円
第2地帯(ヨーロッパ) +2200円
第3地帯(アフリカ、南米) +2400円

※この表は本書のみご購入いただいた場合の費用をまとめたものです.他の書籍を同時に購入する場合はお申し込み金額や重量により費用が異なってまいりますのでご注意ください.

法人向け 購入のお問い合わせ

法人での書籍の一括購入につきまして,「見積書や請求書払い」「複数の発送先への対応」「研修用などで使用する書籍の選定についてのアドバイス」等、下記フォームよりお気軽にお問い合わせください。

こちらの書籍もお勧めいたします

  • 9784758127523
  • 9784758127448
  • 9784758110860
  • 9784758124393
  • 9784758127394
  • 9784758127387
  • 9784758124362
  • 9784758111942
  • 9784758124102
  • 9784758124164

全国書店にて販売中

オンライン書店で購入する

電子版を購入する

サイドメニュー開く