本書を一部お読みいただけます
第1章
症例1 クリニカルシナリオ2(体うっ血型)の急性心不全
上原拓樹
- 呼吸困難感と全身性浮腫を伴うクリニカルシナリオ2(体うっ血型)の急性心不全
- フロセミド静注で利尿反応は良好
- 未治療糖尿病を背景とした虚血性心疾患によるHFrEF
- 心不全基本薬の導入と糖尿病加療を含めた心血管リスク管理,血行再建を実施し,独歩退院
症例1
70歳男性.呼吸困難感,全身性浮腫.
- 現病歴
- 健診で糖尿病を指摘されていたが,受診には至っていなかった.1カ月前から両下腿の浮腫を認め,労作時の息切れ症状も出現した.しばらく経過をみていたが症状改善なく,両下腿の浮腫も増悪してきたため,当院救急外来を受診した.
- 既往歴
- 糖尿病(未治療)
- 生活歴
- 喫煙:20本/日(20歳〜current smoker),飲酒:機会飲酒
- 内服薬
- なし
- バイタル
- 体温 36.6℃.呼吸数 22回/分.脈拍 104回/分, 整.血圧 148/88 mmHg.SpO2 92%(RA).
- 現症
-
頸部:頸静脈怒張あり
胸部:心音 整 心尖部最強点の汎収縮期雑音を聴取,肺音 喘鳴を聴取
腹部:平坦 軟 圧痛なし
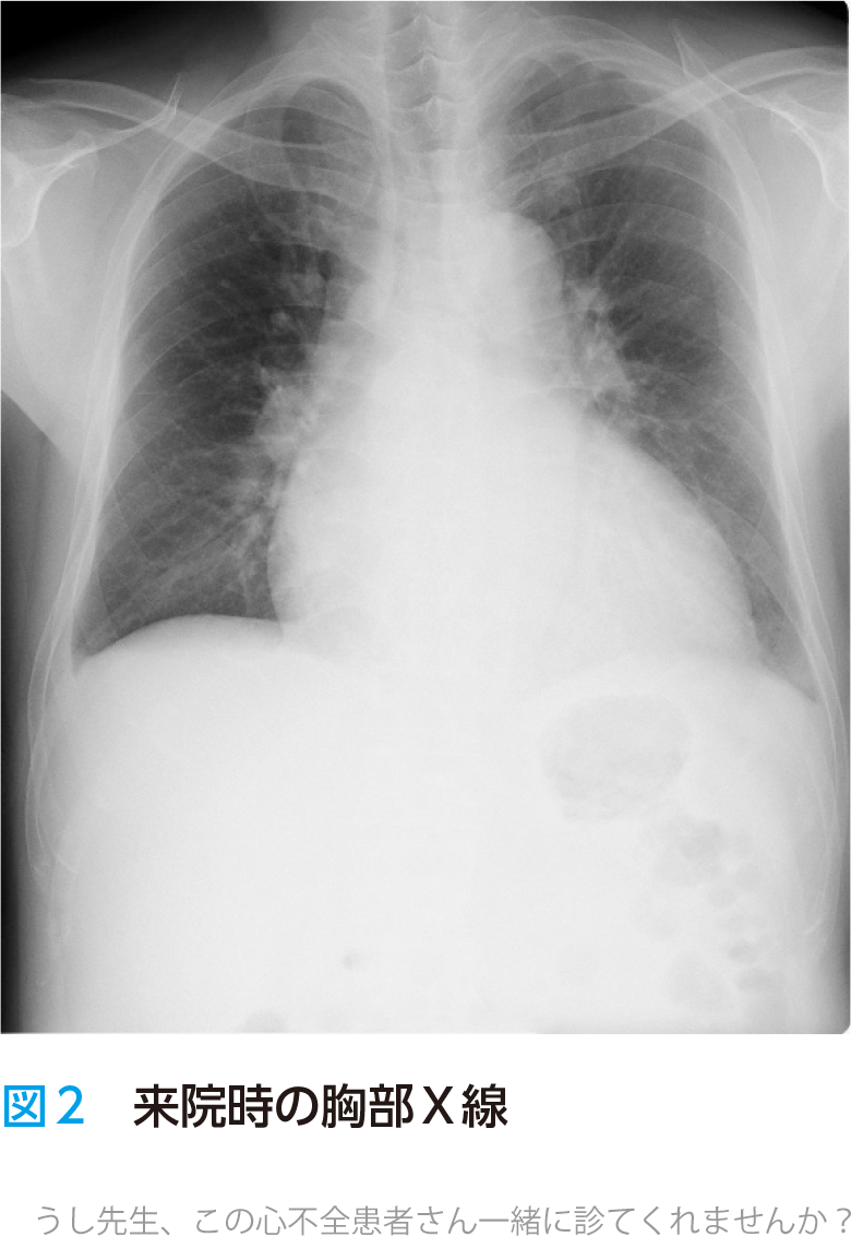
四肢:両下腿に圧痕性浮腫を認める - 検査
- 心電図(図1)と胸部X線(図2)を施行.
急性心不全の外来初期対応
0
本当に心不全か
1
循環動態の確認
続きは書籍にて
ご覧ください
ご覧ください


