臨床に役立つ!病理診断のキホン教えます

  • 伊藤智雄/編
  • 2017年05月30日発行
  • A5判
  • 211ページ
  • ISBN 978-4-7581-1812-5
  • 4,070(本体3,700円+税)
  • 在庫:あり
PDFダウンロード

良性・悪性はどうしてわかる? 病理医は何をみているの?臨床に活かす病理の基本的な見かたを初学者レベルでやさしく解説.診断プロセスを実感できるケーススタディ,病理レポートを読むのに役立つ専門用語など必読!

目次

序【伊藤智雄】

主な免疫染色の抗体リスト

第1章 病理診断を始める前に顕微鏡の使いかた,一般的な染色法を学ぼう!

1. 医療での病理の役割・仕事とは?【全 陽】

病理医の1日
病理診断
病理解剖
臨床病理カンファレンス
臨床研究への参加

2. 正しい顕微鏡の使いかたを学ぼう【伊藤智雄】

顕微鏡の各部の名称と正しい観察姿勢
調整手順

3. 基本的な標本作製の流れを知っておこう【森藤哲史】

検体採取~固定
切り出し
脱脂,脱灰
包埋
薄切
染色

4. さまざまな染色法について知ろう(H&E染色,特殊染色編)【山田 寛】

ヘマトキシリン・エオジン染色(H&E染色)
特殊染色

5. さまざまな染色法について知ろう(免疫染色編)【柳田絵美衣】

原理・種類
手順
抗原性賦活化とは
抗体
発色
核染色
染色態度

第2章 病理の基本の見かたがわかる!【伊藤智雄】

1. まずは肉眼!マクロ所見のとりかたの基本を知ろう

病理検体の全体像を観察・計測・記録する
割面を観察・記録する
肉眼での良性悪性の判断法

2. 顕微鏡観察を始めてみよう

まずは患者情報と検体を確認する
臨床所見・肉眼所見を確認する
プレパラートのセミマクロを確認する
全体像を確認する
病変が存在しやすい部分から確認する
気になる部分を必要に応じて拡大してみる
臨床医とディスカッション,そして最終診断へ

3. 基本的な病理学的所見の言葉を学ぼう

よく使う所見用語
よく使う専門用語

4. 正常・異常をどう診断していく?

炎症や変性がないか?
腫瘍性変化がないか?
本来あってはならないものがないか?
これまで見逃されていた異常所見

5. 特殊染色・免疫染色の使いかた

粘液を証明したい
血管を探し出したい
リンパ管を探し出したい
筋をみたい
真菌を検出したい
細菌を検出したい
ウイルスを検出したい
アミロイドを検出したい
良悪性を知りたい
腫瘍の原発巣を知りたい

第3章 病理医への依頼のしかたがわかる!病理診断・細胞診・術中迅速診断・電顕・剖検

1. 正しい組織診断を得るための準備・依頼法【伊藤智雄】

病理医とよい関係を築こう
正しい依頼文書の書き方のアドバイス
固定を適切に
病理への提出
切り出し立ち会いを活用しよう!

2. 生検体を採取しておきたいときは【遠藤亮和】

手術検体からのサンプルの採取
急速凍結の方法,保存

3. 細胞診の提出準備・依頼法【塚本龍子】

検体採取から固定まで
準備するもの
採取法
塗抹法
固定法
液状化検体細胞診(liqud-based cytology:LBC)
依頼法

4. 術中迅速診断の依頼方法・結果の解釈は 【酒井康裕】

術中迅速診断とは
術中迅速診断の対象
術中迅速診断の対象外
迅速標本の作製
依頼方法
結果の解釈

5. 電子顕微鏡を依頼するときの処理方法【森藤哲史】

透過型電子顕微鏡観察の目的
固定法

6. 病理解剖の依頼・立ち会い・報告まで【阿部志保】

病理解剖とは
病理解剖を依頼するには
病理解剖の立ち会いについて
病理解剖報告について
症例紹介

第4章 病理診断結果レポートの読みかたがわかる!

1. 病理レポートに多い表現とその解釈 【伊藤智雄】

病理レポートの例とポイント
診断についてより深く知りたいとき・

2. 納得がいかないときは?【神澤真紀】

よくあるお問合せ
病理診断医と直接話し合う
研究や学会発表などで

3. 病理医に協力を仰ぎたいときは?【神澤真紀】

学会発表する際には,早めに病理医に相談しよう!
「◯◯ということを示したいのですが」など,目的をはっきりさせることが上手な依頼です
組織標本はどうやって撮影しているの?
研究の協力を依頼したい

第5章 君もマスターしてみよう!病理診断のしかた

Case 1. 大腸のポリープを診断してみよう 腫瘍診断の基本【原 重雄】

Case 2. 悪性リンパ腫を診断してみよう 免疫染色の活用【伊藤智雄】

Case 3. 肝機能障害の原因は何だろう 原因を推理する【伊藤智雄】

Case 4. 細胞診はどのようにみる?【塚本龍子】

Case 5. 術中迅速診断に挑戦してみよう 急いでも正確な診断を!【神保直江】

第6章 写真の撮りかた・プレゼンでの病理写真の出しかた【伊藤智雄】

1. 正しい肉眼写真を撮影しよう 後で後悔しないために,プロの技を学ぶ

事前準備
検体を用意しよう
写真の構図をあわせる
撮影条件について

2. ここがだめだよ,その組織写真

3. 拡大倍率についての意外な事実

拡大倍率とは
拡大倍率は使われていない

4. プレゼンで効果的に病理写真を提示しよう

見てわかる情報は不要です.そのかわりに写真を大きく
意味のない組み写真はやめましょう
あなたの提示している写真は,おそらく倍率が低すぎます

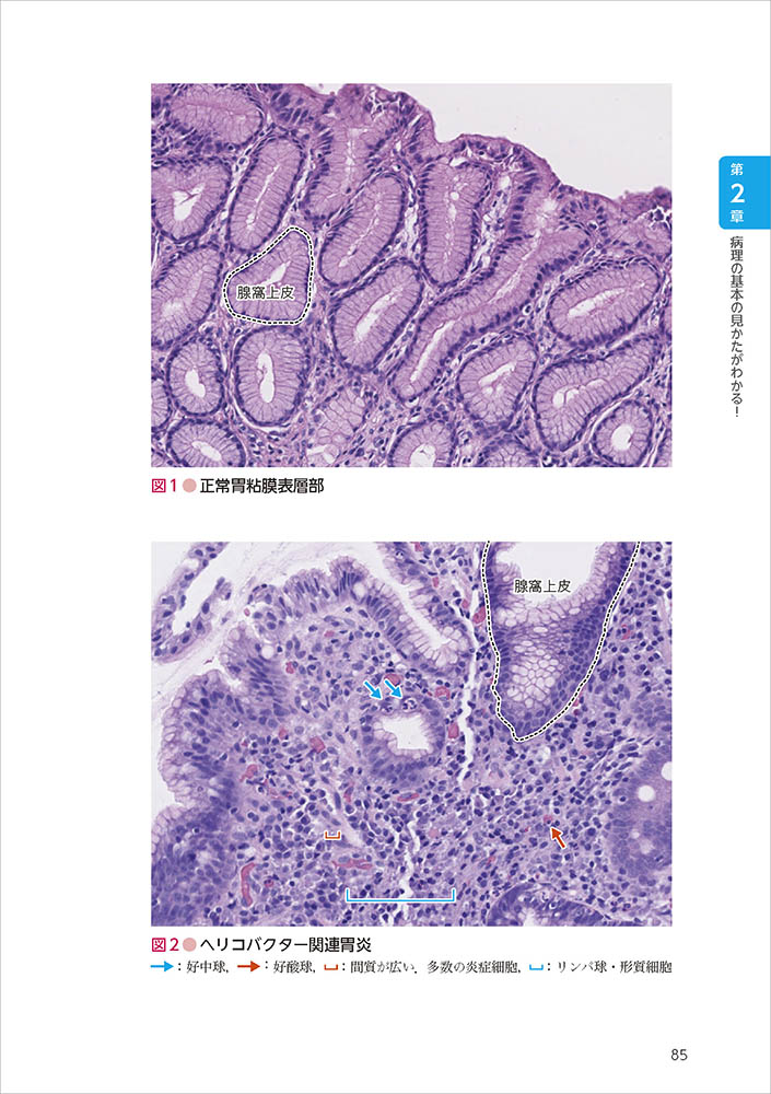
『第2章 病理の基本の見かたがわかる!』より抜粋

臨床に役立つ!病理診断のキホン教えます 立ち読み1 臨床に役立つ!病理診断のキホン教えます 立ち読み2 臨床に役立つ!病理診断のキホン教えます 立ち読み3 臨床に役立つ!病理診断のキホン教えます 立ち読み4 臨床に役立つ!病理診断のキホン教えます 立ち読み4 臨床に役立つ!病理診断のキホン教えます 立ち読み4

購入方法・送料について

本書は全国の羊土社取扱書店にてご購入いただけます.店頭にて見当たらない場合は,下記情報を書店にお伝え下さい.

  • 【本書名】臨床に役立つ!病理診断のキホン教えます
  • 【出版社名】羊土社

お近くに取扱書店が無い場合,特に海外でご覧になりたい場合,羊土社HPでのご注文および発送も承っておりますので,下記ご参照のうえ,注文をご検討ください.

羊土社HPでのご注文について

本書を羊土社HPにてご購入いただきますと,本体価格に加えて,送付先・お支払い方法などにより下記の費用がかかります.お手続き等詳細は書籍購入案内のページをご参照ください.

分類 項目 費用
国内 消費税 +370円
送料 +500円
手数料(代引きのみ) +300円
海外 航空便送料 第1地帯(アジア、グアム、ミッドウェイ等) +680円
第2地帯(オセアニア、中近東、北米、中米) +870円
第2地帯(ヨーロッパ) +870円
第3地帯(アフリカ、南米) +1130円
EMS便送料 第1地帯(アジア、グアム、ミッドウェイ等) +1400円
第2地帯(オセアニア、中近東、北米、中米) +2000円
第2地帯(ヨーロッパ) +2200円
第3地帯(アフリカ、南米) +2400円

※この表は本書のみご購入いただいた場合の費用をまとめたものです.他の書籍を同時に購入する場合はお申し込み金額や重量により費用が異なってまいりますのでご注意ください.

法人向け 購入のお問い合わせ

法人での書籍の一括購入につきまして,「見積書や請求書払い」「複数の発送先への対応」「研修用などで使用する書籍の選定についてのアドバイス」等、下記フォームよりお気軽にお問い合わせください。

こちらの書籍もお勧めいたします

  • 9784758127455
  • 9784758122160
  • 9784758121385
  • 9784758110112
  • 9784758127448
  • 9784758125987
  • 9784758110099
  • 9784758117364
  • 9784758117395
  • 9784758117784

本書が販売されている主な電子書店をご紹介いたします

電子版を購入する

サイドメニュー開く