胸部X線カゲヨミ〜「異常陰影なし」と言い切るために

胸部X線カゲヨミ

「異常陰影なし」と言い切るために

  • 中島幹男/著
  • 2019年03月20日発行
  • B5判
  • 165ページ
  • ISBN 978-4-7581-1190-4
  • 3,960(本体3,600円+税)
  • 在庫:あり
PDFダウンロード

「レジデントノート」誌の人気連載が,全面刷新・新規項目追加して単行本化!見逃しのない読影手順を,やさしく,おもしろく,でも極めて実践的に解説!自信をもって「異常なし」と言える読影力がつきます.

目次

推薦の言葉【下野太郎】

第1話 肺門編「閑古鳥を探せ!」

①肺門のスケッチができますか?

②左右の肺門を超シンプルに

③閑古鳥を探せ

④閑古鳥の異常を考える

第2話 傍気管線「右だけですよ」

①傍気管線ってどこにあるの?

②解剖から理解しよう

③奇静脈弓

④実際の症例でどう見えるか

第3話 気管分岐部編「バランスボール,モーグルとテントの関係」

①気管分岐部の解剖

②左房拡大で起こること

③気管分岐角が浅いとき

④正常の気管分岐部は尖っている

第4話 AP windowはどんな窓?

①AP windowはどこにある?

②「くびれ」がなくなるとき

第5話 横隔膜周辺「横隔膜と胃泡のいい関係」

①胸水はダルいのか? ブラントなのか?

②まず胸水の鑑別に適した撮影体位を確認

③胸水とCP angleの関係

④左肺と胃泡の距離に注目

⑤実際の症例で確認してみよう

⑥横隔膜の左右差を見よう

第5話コラム 水平線が見えるとき

①水平線が見えるのはどんなとき?

②実際の症例で確認してみよう

③臥位での気胸の診断

第6話 見逃しやすい肺野「かくれんぼするところはいつも同じ」

①隠れやすい場所とは

②実践! かくれんぼ陰影

第7話 やっぱりシルエットサイン「影絵の原理と場所」

①シルエットはなぜできるか,影絵で考える

②正常なときに見える線をスケッチ

③3本の線と肺区域番号の対応

④症例で見るシルエットサイン

第8話 左下葉の陰影「LLLのLサイン」

①まずは解剖から

②2本のラインに注目!

③LLLのLサイン

④なぜこの部位に陰影が出やすいのか?

⑤実際の症例

第8話コラム 内側のCP angle

①内側のCP angleとは

②内側のCP angleがない

③内側のCP angleがdull

第9話 血管影の先細り「肺野は枯れ木のように」

①末梢の血管影

②肺紋理は下肺野で目立つ

③血管影はどこまで見えるのか

④解剖の復習

⑤枝の先に何かある場合

⑥血管影が先細りしないとき

第10話 カゲの性質

①末梢の気管支は通常見えない

②末梢の気管支が見えるとき

③陰影の濃度

④スリガラス影の定義

⑤陰影の濃度が同じでも鑑別診断により呼び方が変わる?

⑥スリガラス影は難しい

第11話 まわりも見よう「外堀も埋めとかないと」

①本当の「まわり」

②軟部組織

③肋骨以外の骨

④腹部

⑤チューブ類

第12話 読影の順序「正常と言い切るのが難しい」

①「いつも(正常)」を知る

②読影の順序

③カゲヨミ的7ステップ「カゲ7」

第13話 腕だめし—練習問題

第14話 異常影がなければ一安心!? 主訴をもとに読む

①読影の心得

②呼吸困難

③胸痛

④主訴 無症状

第15話 読影力向上のために

①正常画像をたくさん見る

②解答つき画像を見る

③読みすぎてもいい

④CTとカルテは最良の教師である

⑤読影室に足繁く通う

⑥スケッチをする

⑦比較読影をする

⑧教科書

⑨ウェブサイト

付録「まとめのまとめ」

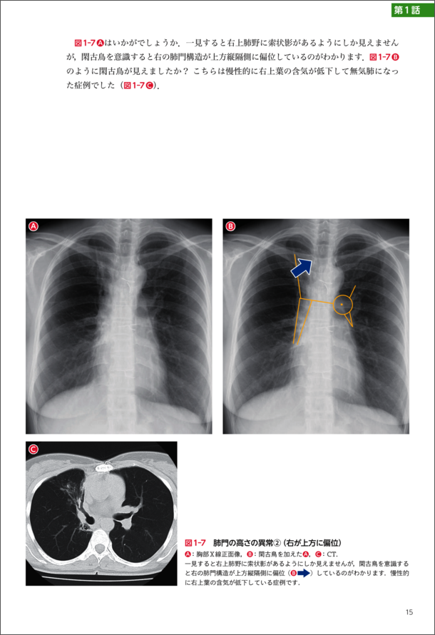
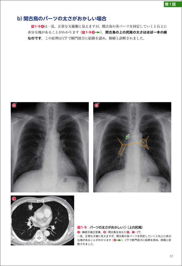
『第1話 肺門編「閑古鳥を探せ!」』より抜粋

胸部X線カゲヨミ 立ち読み1 胸部X線カゲヨミ 立ち読み2 胸部X線カゲヨミ 立ち読み3 胸部X線カゲヨミ 立ち読み4 胸部X線カゲヨミ 立ち読み5 胸部X線カゲヨミ 立ち読み5 胸部X線カゲヨミ 立ち読み5 胸部X線カゲヨミ 立ち読み5 胸部X線カゲヨミ 立ち読み5 胸部X線カゲヨミ 立ち読み5 胸部X線カゲヨミ 立ち読み5

購入方法・送料について

本書は全国の羊土社取扱書店にてご購入いただけます.店頭にて見当たらない場合は,下記情報を書店にお伝え下さい.

  • 【本書名】胸部X線カゲヨミ〜「異常陰影なし」と言い切るために
  • 【出版社名】羊土社

お近くに取扱書店が無い場合,特に海外でご覧になりたい場合,羊土社HPでのご注文および発送も承っておりますので,下記ご参照のうえ,注文をご検討ください.

羊土社HPでのご注文について

本書を羊土社HPにてご購入いただきますと,本体価格に加えて,送付先・お支払い方法などにより下記の費用がかかります.お手続き等詳細は書籍購入案内のページをご参照ください.

分類 項目 費用
国内 消費税 +360円
送料 +500円
手数料(代引きのみ) +300円
海外 航空便送料 第1地帯(アジア、グアム、ミッドウェイ等) +750円
第2地帯(オセアニア、中近東、北米、中米) +960円
第2地帯(ヨーロッパ) +960円
第3地帯(アフリカ、南米) +1250円
EMS便送料 第1地帯(アジア、グアム、ミッドウェイ等) +1400円
第2地帯(オセアニア、中近東、北米、中米) +2000円
第2地帯(ヨーロッパ) +2200円
第3地帯(アフリカ、南米) +2400円

※この表は本書のみご購入いただいた場合の費用をまとめたものです.他の書籍を同時に購入する場合はお申し込み金額や重量により費用が異なってまいりますのでご注意ください.

法人向け 購入のお問い合わせ

法人での書籍の一括購入につきまして,「見積書や請求書払い」「複数の発送先への対応」「研修用などで使用する書籍の選定についてのアドバイス」等、下記フォームよりお気軽にお問い合わせください。

こちらの書籍もお勧めいたします

  • 9784758127523
  • 9784758127448
  • 9784758110860
  • 9784758124393
  • 9784758127394
  • 9784758127387
  • 9784758124362
  • 9784758111874
  • 9784758111898
  • 9784758111782

本書が販売されている主な電子書店をご紹介いたします

電子版を購入する

サイドメニュー開く