ウェブGノートロゴ ウェブGノートロゴ

  • FAQ

  • 新規登録

  • ログイン

  • カート

シリーズGノート
  • 第1号:逃げない内科診療
  • 第2号:在宅医療
  • 第3号:糖尿病治療ができる
  • 第4号:内科外来で必要な薬剤
  • 第5号:骨粗鬆症の薬の使いかたと治療の続けかた
  • 第6号:まずはこれだけ! 抗菌薬の選び方と使い方のシンプルメソッド
  • 第7号:「この患者さんリウマチ・膠原病かも?」と迷ったときの診断のカンどころ
ウェブGノート
  • 特集
  • 連載:劇的に診断力が上がる! 診断推論×ロジックツリー
  • 連載:ポートフォリオ
  • 連載:赤ふん坊や
  • 連載:総合診療Tips
  • インタビューほか
Gノート
  • Gノートとは
  • バックナンバー
関連書籍
  • 内科一般
  • 総合診療・プライマリ・ケア
  1. トップ
  2. 連載・WEBコンテンツ
  3. 劇的に診断力が上がる! 診断推論×ロジックツリー
  4. 第10回(最終回)「疼痛編②:実践で使いこなす!疼痛のロジックツリー」

劇的に診断力が上がる!
診断推論×ロジックツリー

最終回
第10回

疼痛編 ❷
実践で使いこなす!
疼痛のロジックツリー

劇的に診断力が上がる! 診断推論×ロジックツリー

2023年3月24日 公開

  • 1年後の総合内科外来にて
  • 心窩部痛と息切れの患者さんが受診した
  • 時間経過の図とロジックツリーから原因を考えよう
  • 神経障害性疼痛は痛みの分布から障害部位を推定しよう
  • 情報収集では事実ベースを重視しよう!
  • SQからあがる鑑別診断が限定されるときは
  • ロジックツリー診断推論で得られるものは
  • 前へ
  • 1
  • 2
  • 3
  • 次へ

3 / 3ページ

本コンテンツの続きをご覧いただくためには「羊土社会員」のご登録が必要です.
  • 新規登録する
  • ログインする
内科診療の幅がグンと広がる!心療内科的アプローチ

内科診療の幅がグンと広がる!
心療内科的アプローチ

シリーズGノート:逃げない内科診療 「専門外なので…」から「全身を診る!」へ

逃げない内科診療 「専門外なので…」から「全身を診る!」へ

シリーズGノート:在宅医療 藤田総診リアル実践ガイド

在宅医療 藤田総診リアル実践ガイド

患者さんに合わせた糖尿病治療ができる 血糖管理と薬剤選択の大原則

患者さんに合わせた糖尿病治療ができる 血糖管理と薬剤選択の大原則

まずはこれだけ! 内科外来で必要な薬剤

まずはこれだけ! 内科外来で必要な薬剤

図5 多発神経障害のロジックツリー
図5 多発神経障害のロジックツリー
図7 新たに作成した症例のロジックツリー
図7 新たに作成した症例のロジックツリー
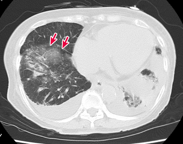
図8 追加で施行した症例の胸部CT
図8 追加で施行した症例の胸部CT
  • 会社案内
  • 採用情報
  • 取扱書店一覧
  • 電子書籍
  • 書店様向け
  • 広告掲載
  • 正誤表・更新情報
  • 転載申請
  • プライバシーポリシー
  • 羊土社会員規約
  • 羊土社のSNS・メールマガジン
  • 特定商取引法に基づく表示
  • FAQ
  • お問い合わせ
  • English
©2026 YODOSHA CO., LTD. All Rights Reserved