劇的に診断力上がる!
診断推論×ロジックツリー

4

発熱編 ❶
今日から得意になる感染症診断

2022年9月22日 公開

はじめに

今回からいよいよ各論のはじまりです.症候ごとの症例を通してロジックツリーを使った診断推論を学んでいきましょう.今回のテーマは発熱です.発熱は初診外来でもcommonな主訴であるがゆえに,なんとなくルーチンの検査を行ってしまいがちです.ぜひともロジカルな診療アプローチをマスターして発熱診療を得意にしましょう.

1 / 2ページ

熱がある患者さんが来院した

(総合内科外来にて)

専攻医さん

専攻医:研修医君,総合内科外来に熱がある患者さんが来たみたいだから予診をとってきてもらってもいい?

研修医

研修医:待ってました!専攻医先生,行ってきます!

指導医先生

指導医:おおっ!さすが若者,威勢がいいねえ.

症例

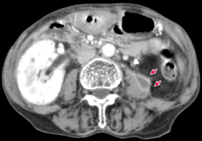
70歳代女性.糖尿病と左尿管結石による膿腎症の既往があり尿管ステントが留置されており,1週間前に泌尿器科でステント交換が行われている.昨日より38℃の発熱があり腰背部痛も出現したため総合内科外来を受診した.
体温 38.7℃,血圧 110/86 mmHg,脈拍数 110回/分, SPO2 98%(room air)

研修医:行ってきました.尿管ステント交換後の発熱と腰背部痛とくれば,これはもうステント交換に伴う上行性感染による腎盂腎炎ですね.

指導医:うん,いかにもそれらしい病歴だけどきちんと病歴聴取と身体診察は行ったのかな?初心に立ち返って,以前話したロジックツリーの構造を意識した3STEPの問診(第2回)を思い出してみよう.

本コンテンツの続きをご覧いただくためには「羊土社会員」のご登録が必要です.