ウェブGノートロゴ ウェブGノートロゴ

  • FAQ

  • 新規登録

  • ログイン

  • カート

シリーズGノート
  • 第1号:逃げない内科診療
  • 第2号:在宅医療
  • 第3号:糖尿病治療ができる
  • 第4号:内科外来で必要な薬剤
  • 第5号:骨粗鬆症の薬の使いかたと治療の続けかた
  • 第6号:まずはこれだけ! 抗菌薬の選び方と使い方のシンプルメソッド
  • 第7号:「この患者さんリウマチ・膠原病かも?」と迷ったときの診断のカンどころ
ウェブGノート
  • 特集
  • 連載:劇的に診断力が上がる! 診断推論×ロジックツリー
  • 連載:ポートフォリオ
  • 連載:赤ふん坊や
  • 連載:総合診療Tips
  • インタビューほか
Gノート
  • Gノートとは
  • バックナンバー
関連書籍
  • 内科一般
  • 総合診療・プライマリ・ケア
  1. トップ
  2. 連載・WEBコンテンツ
  3. 劇的に診断力が上がる! 診断推論×ロジックツリー
  4. 第5回「発熱編②:その発熱,もしかして腫瘍熱?」

劇的に診断力が上がる!
診断推論×ロジックツリー

第5回

発熱編 ❷
その発熱,もしかして腫瘍熱?

劇的に診断力が上がる! 診断推論×ロジックツリー

2022年10月28日 公開

  • 発熱が続く患者さんが来院した
  • 不明熱のロジックツリーを作成しよう
  • ロジックツリーの項目が増えてきたら
  • 検査結果を加味してさらに診断をすすめていこう
  • 診断に迷ったら「病歴」と「身体診察」にもどろう
  • 診断の思考過程を繰り返して診断能力を鍛えよう!
  • 腫瘍熱について
  • 前へ
  • 1
  • 2
  • 次へ

2 / 2ページ

本コンテンツの続きをご覧いただくためには「羊土社会員」のご登録が必要です.
  • 新規登録する
  • ログインする
非専門医にも、もっとできる がん診療

非専門医にも、もっとできる がん診療

シリーズGノート:逃げない内科診療 「専門外なので…」から「全身を診る!」へ

逃げない内科診療 「専門外なので…」から「全身を診る!」へ

シリーズGノート:在宅医療 藤田総診リアル実践ガイド

在宅医療 藤田総診リアル実践ガイド

患者さんに合わせた糖尿病治療ができる 血糖管理と薬剤選択の大原則

患者さんに合わせた糖尿病治療ができる 血糖管理と薬剤選択の大原則

Dr.鈴木の13カ条の原則で不明熱に絶対強くなる ケースで身につく究極の診断プロセス

Dr.鈴木の13カ条の原則で不明熱に絶対強くなるケースで身につく究極の診断プロセス

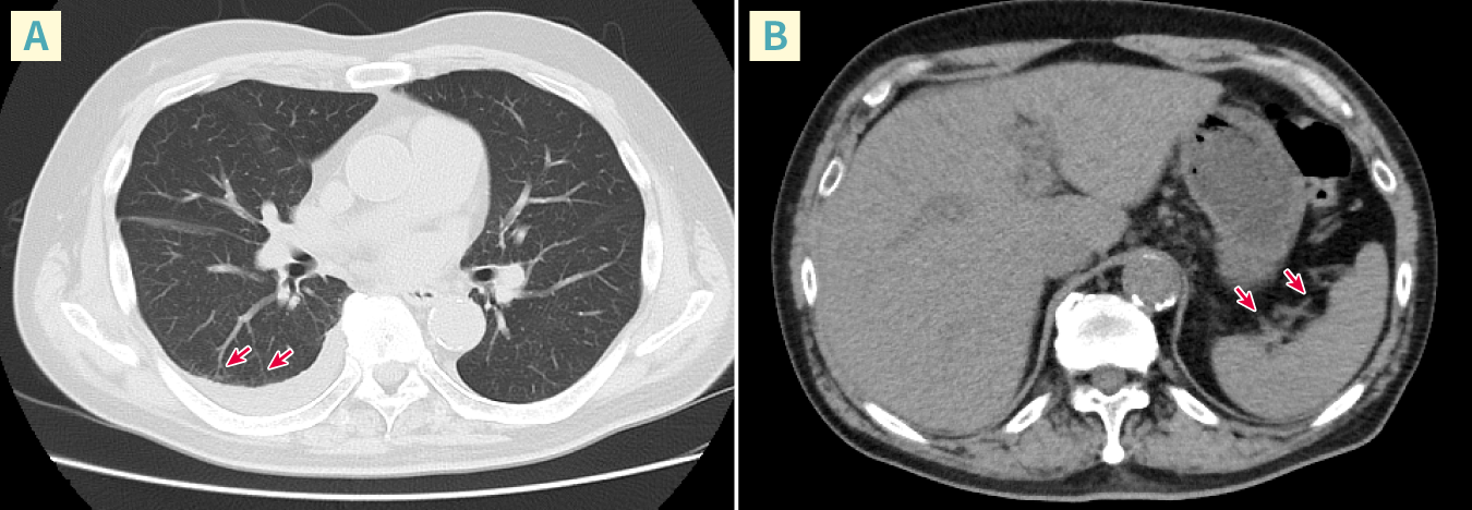
図2 症例の胸部CT画像(A)と腹部CT画像(B)
図2 症例の胸部CT画像(A)と腹部CT画像(B)
  • 会社案内
  • 採用情報
  • 取扱書店一覧
  • 電子書籍
  • 書店様向け
  • 広告掲載
  • 正誤表・更新情報
  • 転載申請
  • プライバシーポリシー
  • 羊土社会員規約
  • 羊土社のSNS・メールマガジン
  • 特定商取引法に基づく表示
  • FAQ
  • お問い合わせ
  • English
©2026 YODOSHA CO., LTD. All Rights Reserved