ウェブGノートロゴ ウェブGノートロゴ

  • FAQ

  • 新規登録

  • ログイン

  • カート

シリーズGノート
  • 第1号:逃げない内科診療
  • 第2号:在宅医療
  • 第3号:糖尿病治療ができる
  • 第4号:内科外来で必要な薬剤
  • 第5号:骨粗鬆症の薬の使いかたと治療の続けかた
  • 第6号:まずはこれだけ! 抗菌薬の選び方と使い方のシンプルメソッド
  • 第7号:「この患者さんリウマチ・膠原病かも?」と迷ったときの診断のカンどころ
ウェブGノート
  • 特集
  • 連載:劇的に診断力が上がる! 診断推論×ロジックツリー
  • 連載:ポートフォリオ
  • 連載:赤ふん坊や
  • 連載:総合診療Tips
  • インタビューほか
Gノート
  • Gノートとは
  • バックナンバー
関連書籍
  • 内科一般
  • 総合診療・プライマリ・ケア
  1. トップ
  2. 連載・WEBコンテンツ
  3. 劇的に診断力が上がる! 診断推論×ロジックツリー
  4. 第9回「疼痛編①: 疼痛診療では解剖学的構造をイメージせよ!」

劇的に診断力が上がる!
診断推論×ロジックツリー

第9回

疼痛編 ❶
疼痛診療では
解剖学的構造をイメージせよ!

劇的に診断力が上がる! 診断推論×ロジックツリー

2023年2月24日 公開

  • ERで疼痛の患者さんを診ることになった
  • 疼痛診断はまず詳細な問診から!
  • 腹痛の患者さんでの診断の考え方
  • 疼痛の経過を図に書いて視覚的にイメージしてみよう
  • 腹痛のロジックツリーを書いてみよう
  • 頭痛の患者さんでの診断の考え方
  • 患者さんへの説明ではTime-based logic treeを活用しよう
  • 疼痛診断のポイントとピットフォール
  • 将来めざす道は
  • 前へ
  • 1
  • 2
  • 3
  • 次へ

2 / 3ページ

本コンテンツの続きをご覧いただくためには「羊土社会員」のご登録が必要です.
  • 新規登録する
  • ログインする
“ただ処方する”から卒業!薬の上手な処方ガイド

“ただ処方する”から卒業!
薬の上手な処方ガイド

シリーズGノート:逃げない内科診療 「専門外なので…」から「全身を診る!」へ

逃げない内科診療 「専門外なので…」から「全身を診る!」へ

シリーズGノート:在宅医療 藤田総診リアル実践ガイド

在宅医療 藤田総診リアル実践ガイド

患者さんに合わせた糖尿病治療ができる 血糖管理と薬剤選択の大原則

患者さんに合わせた糖尿病治療ができる 血糖管理と薬剤選択の大原則

皮膚診療ドリル

皮膚診療ドリル

図2 症例1(Aさん)の痛みの場所と症状の時間経過の図
図2 症例1(Aさん)の痛みの場所と症状の時間経過の図
図3 症例1(Aさん)(腹痛)のロジックツリー
図3 症例1(Aさん,腹痛)のロジックツリー
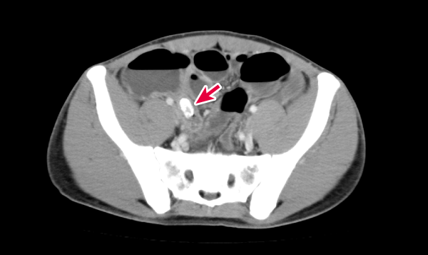
図4 症例1(Aさん)の腹部造影CT
図4 症例1(Aさん)の腹部造影CT
矢印(→)部位に腫大した虫垂と糞石を認める
図5 
					症例2(Bさん,頭痛)の痛みの場所と症状の時間経過
図5 症例2(Bさん,頭痛)の痛みの場所と症状の時間経過
図6 
					症例2(Bさん)のTime-based logic tree
図6 症例2(Bさん)のTime-based logic tree
図7 
					症例2(Bさん)の2日後の皮膚所見
図7 症例2(Bさん)の2日後の皮膚所見
  • 会社案内
  • 採用情報
  • 取扱書店一覧
  • 電子書籍
  • 書店様向け
  • 広告掲載
  • 正誤表・更新情報
  • 転載申請
  • プライバシーポリシー
  • 羊土社会員規約
  • 羊土社のSNS・メールマガジン
  • 特定商取引法に基づく表示
  • FAQ
  • お問い合わせ
  • English
©2026 YODOSHA CO., LTD. All Rights Reserved