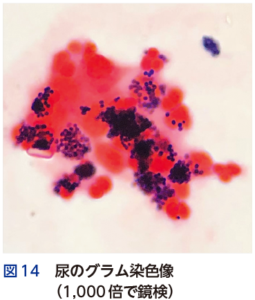
頻尿を自覚し,排尿時痛を生じていた10歳代女性5 症例 10歳代後半の女性.2日前に頻尿を自覚し,昨日から排尿時痛を生じていたが,我慢していた.今朝になって急な悪寒戦慄があり,38.5℃に発熱していたため両親に連れられ救急外来を受診した.これまで既往歴はなく,アレルギー歴もない. 来院時の自覚症状は寒気のみであった.血圧128/72 mmHg,脈拍90回/分,呼吸数は20回/分,酸素投与なしでSpO2 97%であった.身体診察では左背部に叩打痛があるが,その他に異常所見はない.腎盂腎炎を疑い,尿培養および血液培養2セットを採取のうえ入院加療を行うことにした.あなたが入院担当となり救急外来に到着すると,すでに救急医がセフトリアキソンの点滴静注を開始していた. ※クリック/タップで拡大します ⓑ Staphylococcus saprophyticus 市中の尿路感染症を起こすStaphylococcus spp.を知っておこう 閉塞や損傷など尿路の異常,カテーテルなどの人工物がない限り,Staphylococcus spp.が尿路感染症の原因となることは稀です.しかし例外的に,市中感染ではStaphylococcus saprophyticusが膀胱炎や腎盂腎炎の起因菌となることがあります.閉経前の女性の膀胱炎においてはEscherichia coliに次ぐ検出頻度ですが,培養結果では単に「コアグラーゼ陰性Staphylococcus spp.」とのみ表示されている施設も多く,適切な診断に結びついていない症例も多いのではないかと筆者は懸念しています.菌体自体の形態的な特徴はありませんが,尿路感染症をきたした際には尿グラム染色像で比較的大きな集塊として観察されることを知っていれば,本菌と推定できます(図15).ちなみに,本菌は経口第3世代セファロスポリンとホスホマイシンを除き,尿路感染症で使用される多くの抗菌薬に対して感受性が良好であると本邦のサーベイランスで報告されています1). Escherichia coliによる腎盂腎炎・菌血症の症例でした.感受性結果が判明した入院4日目にアンピシリン(ABPC)の点滴静注へde-escalationしました.同日に解熱が得られ,翌日からアモキシシリン(AMPC)に内服スイッチし退院としました.治療期間は合計14日間でした. 引用文献 Hayami H, et al:Second nationwide surveillance of bacterial pathogens in patients with acute uncomplicated cystitis conducted by Japanese Surveillance Committee from 2015 to 2016:antimicrobial susceptibility of Escherichia coli,Klebsiella pneumoniae, and Staphylococcus saprophyticus.J Infect Chemother, 25:413-422, 2019 (2021/10/01公開) 戻る この"ドリル"の掲載書をご紹介します グラム染色診療ドリル 解いてわかる!菌推定のためのポイントと抗菌薬選択の根拠 林 俊誠/編 定価:3,960円(本体3,600円+税) 在庫:あり 月刊レジデントノート 最新号 次号案内 バックナンバー 連載一覧 定期購読案内 定期購読WEB版サービス 定期購読申込状況 レジデントノート増刊 最新号 次号案内 バックナンバー 定期購読案内 residentnote @Yodosha_RN その他の羊土社のページ ウェブGノート 実験医学online 教科書・サブテキスト 広告出稿をお考えの方へ 広告出稿の案内