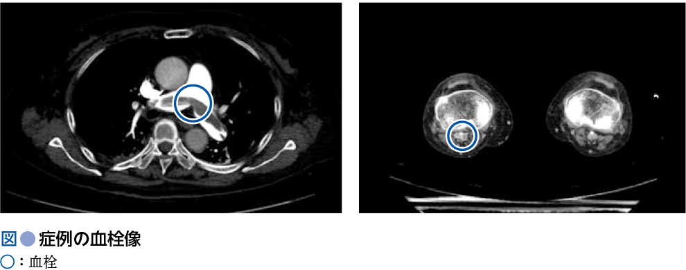
日中起立時の突然の呼吸困難:初診時 初診時 68歳女性.肺癌術後で経過観察をしている.多発神経炎に対してステロイドを内服している.日中は坐位で過ごすことが多い.日中起立時に突然の呼吸困難が出現し,救急車で来院した. 来院時,意識清明,血圧96/71 mmHg,脈拍98回/分,呼吸回数26回/分,SpO2 95%(O2 10 L/分リザーバーマスク)であった.来院時採血では,トロポニンT 0.168 pg/mL,FDP 29.3μg/mL,Dダイマー12.21μg/mL,eGFR 44 mL/分/1.73 m2であった.心エコーでは左室のD-shape様変形を認め,右室の拡大を認めた.造影CT検査を施行したところ以下の通りであった. ※クリック/タップで拡大します 本症例の診断は何か.2つ選べ. ⓐ肺血栓塞栓症 ⓑ急性心不全 ⓒ急性心筋梗塞 ⓓ深部静脈血栓症 本症例に対する初期治療薬として,適切でないものはどれか. ⓐアスピリン ⓑ直接作用型経口抗凝固薬(DOAC) ⓒ未分画ヘパリンナトリウム ⓓワルファリン A1 ⓐ肺血栓塞栓症,ⓓ深部静脈血栓症A2 ⓐアスピリン 重症度評価に基づく治療方針の選択 造影CT上肺動脈主幹部に血栓像があり,右膝窩静脈-大腿静脈に血栓像を認め,肺血栓塞栓症および深部静脈血栓症と診断される(図). 血行動態は保たれているものの,簡易版PESI≧1(表1),右室機能不全と心筋逸脱酵素の上昇を認め,重症度クラスは中[高]リスク(表2)に該当する. 中[高]リスクの症例に対しては,抗凝固療法を第一選択とするが,経過中に血行動態が不安定化する可能性に注意し慎重なモニタリングを要する.血行動態の悪化時は血栓溶解療法を考慮する. 現在のガイドライン1)上,血栓溶解療法の適応は,ショックや低血圧が遷延した重症例のみである.モンテプラーゼ(点滴静注:13,750~27,500単位 /kg,2分間で静注)が使用可能である. ワルファリンを投与する場合は,投与開始から治療域にコントロールされるまで未分画ヘパリンナトリウムを併用する. DOACは即効性があり(抗凝固作用の発現まで1〜4時間程度),ショックのない症例では通常DOACが第一選択として使用されることが多い. 経過観察中に血栓溶解療法を使用する可能性が高いと予想される症例では,半減期が1時間と短い未分画ヘパリンナトリウムが使用しやすい. 文 献 日本循環器学会,他:肺血栓塞栓症および深部静脈血栓症の診断,治療,予防に関するガイドライン(2017年改訂版)(2021年11月閲覧) Konstantinides SV, et al:2014 ESC guidelines on the diagnosis and management of acute pulmonary embolism. Eur Heart J, 35:3033-3069, 3069a, 2014 (2022/06/03公開) 戻る この"ドリル"の掲載書をご紹介します 循環器薬ドリル 薬剤選択と投与後のフォローも身につく症例問題集 池田隆徳/監,阿古潤哉/編 定価:4,950円(本体4,500円+税) 在庫:あり 月刊レジデントノート 最新号 次号案内 バックナンバー 連載一覧 定期購読案内 定期購読WEB版サービス 定期購読申込状況 レジデントノート増刊 最新号 次号案内 バックナンバー 定期購読案内 residentnote @Yodosha_RN その他の羊土社のページ ウェブGノート 実験医学online 教科書・サブテキスト 広告出稿をお考えの方へ 広告出稿の案内