新規登録
ログイン
FAQ
検索
レジデントノートとは
レジデントノートとは
Twitter
Facebook
月刊
最新号
次号案内
バックナンバー
連載一覧
定期購読
正誤表・更新情報
増刊
最新号
次号案内
バックナンバー
定期購読
正誤表・更新情報
購読の方法
購入案内
定期購読
定期購読WEB版サービス
定期購読申込状況
定期購読の規約
取扱い書店
Onlineコンテンツ
Onlineコンテンツ一覧
実践!画像診断Q&A
検査のTips!
Dr.坂本の救急ショートレクチャー
メ〜太と学ぶ 問診わくわく☆レクチャー
日常診療でこんなに役立つ! 漢方薬の使い方
各科ローテ準備ガイド
若手医師の進路選択
こんなにも面白い医学の世界
Dr.ヤンデルの 勝手に索引作ります!
ドリル祭り
科学で見る恋愛講座
各科がめざす専門医の姿
かんたん救急エコー塾
画像診断ワンポイントレッスン
編集部レポート
臨床医学Web略語集
羊土社アンケート
広告出稿
広告出稿の案内
羊土社の書籍
レジデントノートから生まれた書籍
研修医向け書籍
ウェブ Gノート
実験医学HP
羊土社TOP
会社案内
閉じる
連載トップ
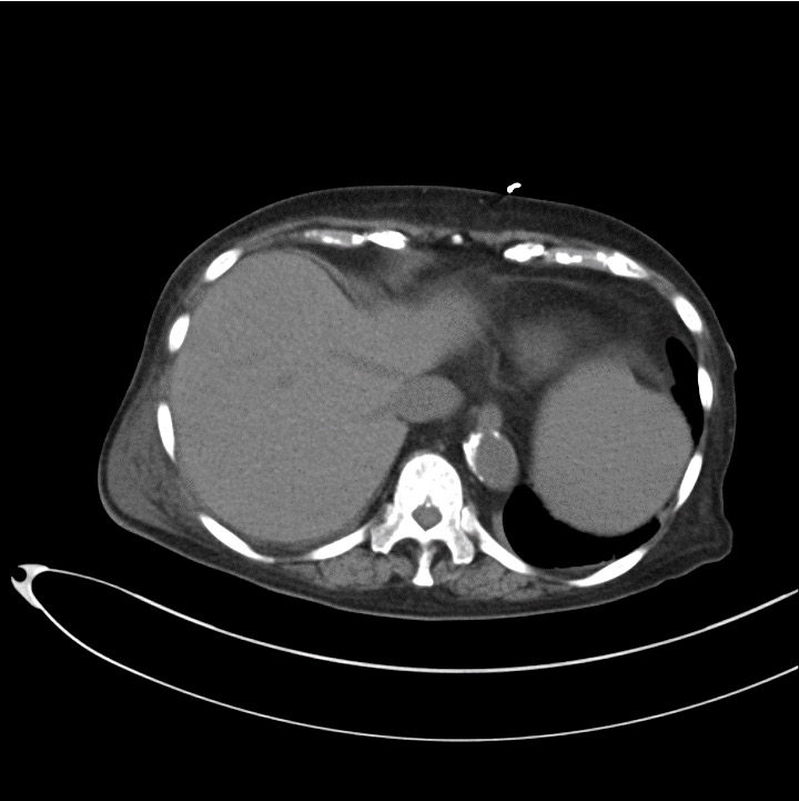
発熱,下腹部痛,意識障害を呈する70歳代女性
レジデントノート 2025年8月号
掲載
発熱,下腹部痛,意識障害を呈する70歳代女性
病歴:
2日前から発熱と下腹部痛を認めた.今朝からは意識がもうろうとしていることに家人が気づき,患者とともに受診.
身体所見:
体温38.9℃,下腹部正中~右下腹部あたりに圧痛,自発痛あり.
既往歴:
糖尿病,高血圧,慢性腎不全(人工透析中).
血液検査:
WBC,CRP上昇.
Q1:腹部単純CT(図1)の画像所見は?
Q2:診断は?
図1 腹部単純CT横断像
1
/
誌面掲載画像は赤枠で示す
最初
-
+
最後
解答・解説を見る
プロフィール
山内哲司(Satoshi Yamauchi)
奈良県立医科大学 放射線診断・IVR学講座,教育開発センター
おすすめ書籍
月刊
レジデントノート
最新号
次号案内
バックナンバー
連載一覧
定期購読案内
定期購読WEB版サービス
定期購読申込状況
レジデントノート
増刊
最新号
次号案内
バックナンバー
定期購読案内
residentnote
@Yodosha_RN
その他の羊土社のページ
ウェブGノート
実験医学online
教科書・サブテキスト
広告出稿をお考えの方へ
広告出稿の案内