画像診断Q&A

レジデントノート 2025年10月号掲載
【解答・解説】交通外傷の20歳代男性

ある1年目の研修医の診断

意識清明で頭部にも外傷がないです.目立った腹水やfree airもないように見えますし,CT所見としてはあまり異常を感じません.

Answer

外傷性腸間膜損傷(動脈性出血),外傷性小腸穿孔

  • ※提示した単純CTからは読みとれない.
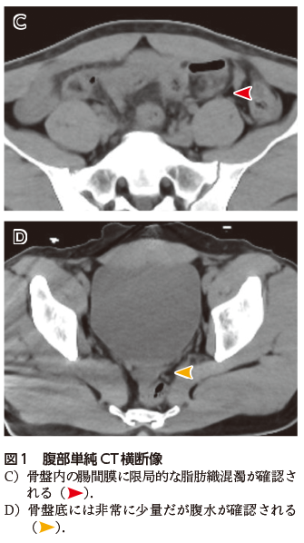
  • A:骨盤底にごく少量の腹水を認める(図1D).また腸間膜に限局的な脂肪織混濁が認められる(図1C).free airや腸間膜内ガスは認めない.

解説

今回は交通外傷の症例をとり上げる.交通事故に限らず,腹部外傷患者を診療する場合,腹痛の有無やバイタルサインから,腹腔内出血や後腹膜腔出血の可能性を常に念頭に置く必要がある.そのうえで,超音波検査(focused assessment with sonography for trauma:FAST)やCT検査(特に造影CT)を適切なタイミングで実施することが推奨される.本研修医のように血性腹水やfree air異常所見を検索することが求められる.本例は,救急隊到着時から腹痛の訴えがあり,シートベルト痕もあることから,腹部臓器の外傷・損傷の可能性が疑われた.

ここでさっそく,今回のピットフォールを紹介する.本例は,受傷からわずか30分以内に撮影された単純CTでは,上記のような異常所見があまり顕在化していなかった.しかしその後,血圧低下と腹部膨満などを認め,超音波検査で大量の腹水が確認されたことから緊急開腹手術が行われた.術中には,腸間膜の断裂と動脈性出血,大量の血性腹水,小腸の穿孔が認められた.

なお,本例は初回のCT検査の段階で造影CT(図2として本頁にのみ掲載)も実施されており,腸間膜での造影剤の血管外漏出像(extravasation)が認められていたためすみやかに治療へと移行できた.しかし,単純CTのみで評価していた場合には,重篤性を過小評価してしまう恐れがあった.

近年,地域の救急搬送体制の整備や医療機関の対応力向上により,受傷からCT撮影までの時間が短縮されている.これは救命率の向上といった大きなメリットをもたらすが,その一方で,画像上の典型的な異常所見が顕在化する前に撮影されるケースが増加しており,注意が必要である.

特に,近年導入が進む初療室内でCTや血管造影が可能なハイブリッドERシステム(Hybrid Emergency Room System:HERS)では,この傾向が顕著である.このような高度な設備であっても,その適切な活用方法を理解していなければ,診断や治療のタイミングを誤るリスクがある.本例を通じて,このようなピットフォールの存在を医療従事者全体で共有しておくことの重要性を再認識したい.

図1
図2
  • 画像はクリック/タップで拡大します

引用文献

  1. 「改訂第6版 外傷初期診療ガイドラインJATEC」(日本外傷学会,日本救急医学会/監,日本外傷学会外傷初期診療ガイドライン改訂第6版編集委員会/編),へるす出版,2021

プロフィール

山内哲司(Satoshi Yamauchi)
奈良県立医科大学 放射線診断・IVR学講座,教育開発センター)
おすすめ書籍
  • 9784758127448
  • 9784758110860
  • 9784758124393
  • 9784758127394
  • 9784758127387
  • 9784758124362
  • 9784758124294
  • 9784758127332
  • 9784758124348
  • 9784758121774