画像診断Q&A

レジデントノート 2026年1月号掲載
右大腿骨骨折を認めた70歳代女性

症例

自宅にて滑って転倒後,右股関節痛が出現した.右股関節を動かすことができなくなり,救急外来を受診した.

身体所見:
バイタルサインは正常範囲内.右下肢は短縮し,内旋位.右股関節は自立動作不可.
血液検査データ:
WBC 12,000/μL(好中球50.2%,リンパ球41.7%,好酸球1.0%),Hb 14.2 g/dL,PLT 25.5万/μL,TP 7.8 g/dL,Alb 4.0g/dL,AST 26 IU/L,ALT 38 IU/L,LD 171 U/L,BUN 12.1 mg/dL,Cr 0.65 mg/dL,HbA1c 8.1%.
既往歴:
糖尿病,高血圧,骨粗鬆症.
内服薬:
エンパグリフロジン/リナグリプチン(トラディアンス®配合錠)10 mg/5 mg 1回1錠 1日1回,アムロジピン5 mg 1回1錠 1日1回,グリメピリド0.5 mg 1回1錠 1日1回,イバンドロン酸(ボンビバ®)100 mg 1回1錠 月1回.

Question

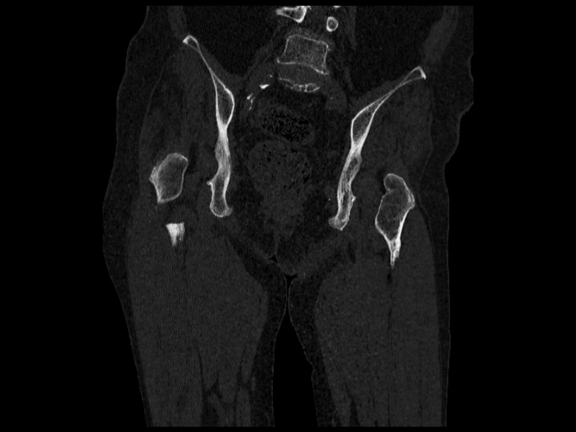
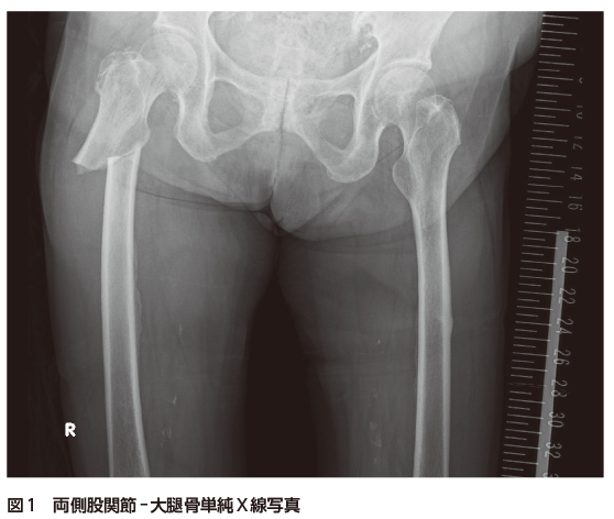
  1. Q1:両側股関節-大腿骨単純X線写真(図1),単純CT(図2)の画像所見は?
  2. Q2:診断は?

図2 両側股関節-大腿骨単純CT(冠状断)
A)右大腿骨,B)左大腿骨

1/

誌面掲載画像は,A)赤枠 B)青枠で示す

最初 - + 最後

プロフィール

関 晃吉(Kokichi Seki)
滋賀医科大学 放射線医学講座
井上明星(Akitoshi Inoue)
滋賀医科大学 放射線医学講座
おすすめ書籍
  • 9784758127523
  • 9784758127448
  • 9784758110860
  • 9784758124393
  • 9784758127394
  • 9784758127387
  • 9784758124362
  • 9784758124294
  • 9784758127332
  • 9784758124348