画像診断Q&A

レジデントノート 2026年2月号掲載
【解答・解説】のどに違和感がある90歳代男性

ある1年目の研修医の診断

頸部のCTなんて全く見たことがないです.何が異常かわかりませんが,リンパ節も腫れてなさそうだし,別に異常がないように思いますが….

Answer

魚骨誤飲による咽頭・食道異物

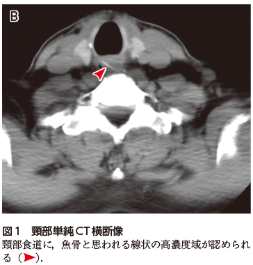
  • A1:頸部食道内に線状の高濃度域が認められる(図1図2).形態や濃度からは魚骨と考えられる.

解説

今回紹介するのは食用の魚の骨を誤飲し,食道壁に刺さった症例である.異物の誤飲は,国家試験ではそこまで多くとり上げられないものの,実臨床ではしばしば経験する.異物の誤飲は古くから小児に多いとされてきたが,近年は少子高齢化に伴い,むしろ高齢者での報告が増加している.なかでも魚骨による咽頭・食道損傷は決して稀ではない.「○○を誤って飲み込んだ」という訴えで来院されない場合もあるため,病歴よりも画像診断の重要性が高まることも留意しておく必要があるだろう.

高齢者が誤飲する異物として,魚骨のほか,PTPシート(薬剤の包装)や義歯が有名である.いずれのケースも,疑われた場合はその有無および位置を確認するためにCTが施行されることが多い.魚骨は一般的にCTで線状の高濃度域として描出される.一方,誤飲異物として頻度が高いPTPシートもCTで検出可能だが,材質によっては高濃度を呈さないものもある(2020年5月号の本コーナー参照).食道だけでなく,胃や大腸にまで達することもあり,その場合は広範囲を念入りに検索する必要がある.

また,魚骨は消化管壁を穿孔し,周囲に膿瘍を形成することがある.穿孔後,消化管外へ逸脱した魚骨が体内を移動し,穿孔部位とは離れた位置で発見されることもある.このため,穿孔が疑われる場合にはさらに広い検索範囲を意識することが重要である.

何らかの異物を誤飲した場合,特に飲み込みなどに際して咽頭あたりの違和感,詰まり感,痛みがしばしば認められ,本例のように受診する.CTなどで異物の残存が確認された場合,次のステップ(内視鏡を用いた除去術など)に進むことができる.しかし,画像的に異物が発見できなかった場合が問題となる.食道異物に限らず,「病気が存在しないと診断すること」は,異常を同定するよりもはるかに難しい.異物が食道や咽頭に残存していなくても,異物感だけは残存している場合もあり,心配になって受診するケースもあるだろう.頻度が高い疾患ではあっても,特に頸部CTに不慣れな若手医師では,正常構造と異物の判別に苦慮することも多い.見逃しを避けるためには,日頃から頸部の画像解剖にも慣れておいたり,骨ウィンドウやMPR像(再構成画像)を活用するなどの訓練が不可欠である.

異物誤飲は一見単純な,頻度の高い救急疾患に思われがちだが,的確な画像診断は決して容易ではない.特に魚骨のように鋭利な異物では,「見逃さないCT読影」が患者予後に直結することを認識しておきたい.

図1
図2
  • 画像はクリック/タップで拡大します

参考文献

  1. 山内哲司:頸部違和感を主訴に受診した80歳代女性. レジデントノート, 22:457-458, 2020
    https://www.yodosha.co.jp/rnote/book/9784758116435/index.html

プロフィール

山内哲司(Satoshi Yamauchi)
奈良県立医科大学 放射線診断・IVR学講座,教育開発センター
おすすめ書籍
  • 9784758127523
  • 9784758127448
  • 9784758110860
  • 9784758124393
  • 9784758127394
  • 9784758127387
  • 9784758124362
  • 9784758124294
  • 9784758127332
  • 9784758124348