画像診断Q&A

レジデントノート 2026年3月号掲載
内視鏡的乳頭括約筋切開術後に血便と貧血進行を認めた70歳代男性

症例

70歳代男性.
意識障害と発熱の精査加療目的に入院.低血糖(6 mg/dL)の補正により意識障害はすみやかに改善した.CTおよび超音波内視鏡検査にて総胆管結石による胆石性胆管炎が発熱の原因と考えられ,内視鏡的採石術および内視鏡的乳頭括約筋切開術(endoscopic sphincterotomy:EST)を施行された.入院6日目に血便と貧血の進行および血圧低下があり原因検索目的に造影CTを施行した.

血液検査所見:
Ht 15.9%(入院時41.8%),Hb 5.3 g/dL(入院時13.9g/dL),WBC 9,000 /μL,PLT 23.2万/μL,TP 4.7 g/dL,Alb 2.0 g/dL,AST 71 U/L,ALT 33 U/L,LD 181 U/L,Cre 0.99 mg/dL,CRP 0.55mg/dL.

Question

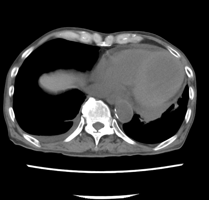
  1. Q1:非造影CT(図1A)で血腫の存在が疑われる部位は?
  2. Q2:次に考慮すべき検査および治療法は?

図1 A)非造影CT 連続画像

1/

誌面掲載画像は赤枠で示す

最初 - + 最後

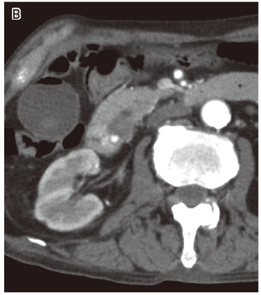
図1 B)造影CT動脈相

図1 C)造影CT平衡相

プロフィール

神谷 梓(Azusa Kamitani)
公立甲賀病院 放射線科
井上明星(Akitoshi Inoue)
滋賀医科大学 放射線科
おすすめ書籍
  • 9784758127523
  • 9784758127448
  • 9784758110860
  • 9784758124393
  • 9784758127394
  • 9784758127387
  • 9784758124362
  • 9784758124294
  • 9784758127332
  • 9784758124348