画像診断Q&A

レジデントノート 2026年3月号掲載
【解答・解説】胸部異常陰影にて紹介受診した20歳代男性

ある1年目の研修医の診断

下行大動脈の外側縁が膨隆しており,同部位に腫瘤性病変が疑われます.後縦隔腫瘍をはじめとした後縦隔の腫瘤性病変を鑑別に考えます.

Answer

後縦隔腫瘍,神経節腫

  • A1:心陰影に重なって,第8-12胸椎左側に紡錘状の腫瘤影が認められる(図1A).腫瘤影の辺縁は左傍脊椎線(図1B)に連続しており,この部位では下行大動脈の外側縁(図1B)のシルエットが消失している(シルエットサイン陽性).
  • A2:下行大動脈外側縁の線が消失していることから後縦隔の腫瘤性病変の存在が疑われる.後縦隔に好発する腫瘤性病変として,神経原性腫瘍や髄外造血などが鑑別としてあげられる.

解説

本症例は後縦隔に発生した神経節腫の症例である.

胸部単純X線写真(図1)では心陰影に重なる紡錘形の腫瘤影を認め,腫瘤影の辺縁は左傍脊椎線に連続している.また,腫瘤により下行大動脈外側縁が第8胸椎レベルより下方で不明瞭となっており,後縦隔を主座とする病変であることがわかる(図1B).

左傍脊椎線は下行大動脈の後方で傍脊椎脂肪組織が下葉の内側と接するために形成される線で,大動脈弓部より下方で認められる.胸部単純X線写真では椎骨左縁で椎体の1〜2 mm外側に平行に走行する線状影として認められる(若年者では傍脊椎脂肪織が少ないため,椎体の外側縁自体を見ていることも少なくない).この線が膨隆した場合は,後縦隔腫瘍やリンパ節腫大,感染性脊椎炎による傍椎体膿瘍などが疑われる.本症例では,腫瘤影の辺縁が下行大動脈の外側縁の膨隆ではないことに注意する必要がある.

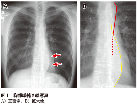
神経節腫は交感神経節を由来とする腫瘍で,小児〜若年成人に好発する.他の交感神経由来の腫瘍(神経節芽腫や神経芽腫)と比較して最も分化度の高い良性腫瘍である.画像所見は境界明瞭な円形や紡錘状・分葉状の腫瘤で,比較的内部均一な性状を示す.造影CTでは造影効果の弱いものや緩徐に造影される場合が多い(図2).後縦隔に多い神経鞘腫や神経線維腫などの神経原性腫瘍と比較すると,上下に長い紡錘形の形態を示すのが特徴的である.内部は粘液腫状変性をきたしやすく,CTでは低吸収,MRI T1強調像で筋肉よりも低信号,T2強調像は腫瘍内部の粘液基質や細胞成分,膠原線維などの割合を反映して中間信号〜高信号を示す.

縦隔病変の鑑別を行う場合,各縦隔区分に好発する病変を知り,年齢・性別,臨床症状,画像で充実性腫瘤か嚢胞性病変か,石灰化や脂肪成分の有無などから鑑別を絞ることができる.本症例は胸部単純X線写真の所見から後縦隔の病変が疑われ,年齢および無症状であること,CTでの形態や進展形式から神経原性腫瘍,そのなかでも神経節腫が疑われる.鑑別としては他の神経原性腫瘍や髄外造血があげられる.治療は一般的には手術による切除である.本症例も手術が行われ,病理学的に神経節腫の診断であった.

図1
図2
  • 画像はクリック/タップで拡大します

プロフィール

福島 文(Aya Fukushima)
長崎大学病院 臨床腫瘍科
芦澤和人(Kazuto Ashizawa)
長崎大学大学院医歯学総合研究科 臨床腫瘍学分野
おすすめ書籍
  • 9784758127523
  • 9784758127448
  • 9784758110860
  • 9784758124393
  • 9784758127394
  • 9784758127387
  • 9784758124362
  • 9784758124294
  • 9784758127332
  • 9784758124348