新規登録
ログイン
FAQ
検索
レジデントノートとは
レジデントノートとは
𝕏
Facebook
月刊
最新号
次号案内
バックナンバー
連載一覧
定期購読
正誤表・更新情報
増刊
最新号
次号案内
バックナンバー
定期購読
正誤表・更新情報
購読の方法
購入案内
定期購読
定期購読WEB版サービス
定期購読申込状況
定期購読の規約
取扱い書店
Onlineコンテンツ
Onlineコンテンツ一覧
実践!画像診断Q&A
検査のTips!
Dr.坂本の救急ショートレクチャー
メ〜太と学ぶ 問診わくわく☆レクチャー
日常診療でこんなに役立つ! 漢方薬の使い方
各科ローテ準備ガイド
若手医師の進路選択
こんなにも面白い医学の世界
Dr.ヤンデルの 勝手に索引作ります!
ドリル祭り
科学で見る恋愛講座
各科がめざす専門医の姿
かんたん救急エコー塾
画像診断ワンポイントレッスン
編集部レポート
臨床医学Web略語集
羊土社アンケート
広告出稿
広告出稿の案内
羊土社の書籍
レジデントノートから生まれた書籍
研修医向け書籍
ウェブ Gノート
実験医学HP
羊土社TOP
会社案内
閉じる
連載トップ
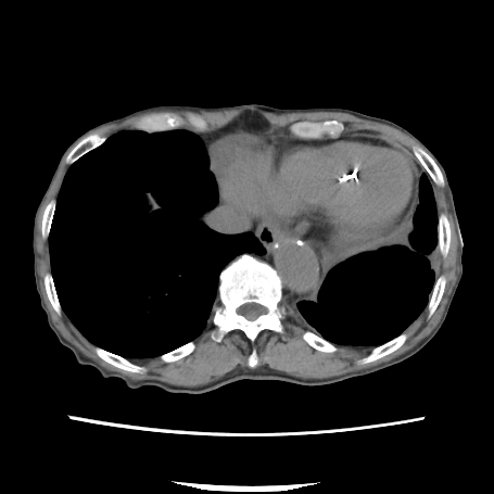
左鼠径部の腫脹と腹痛を主訴とした80歳代男性
レジデントノート 2026年5月号
掲載
左鼠径部の腫脹と腹痛を主訴とした80歳代男性
症例:
80歳代男性.左鼠径部に違和感と疼痛あり.疼痛が徐々に増強し,下腹部に広がったため当院に救急搬送された.
既往歴:
右鼠径ヘルニア術後,左鼠径ヘルニア(経過観察),洞不全症候群にてペースメーカ植込み術後,前立腺肥大症に対してTUR-P後.
身体所見:
下腹部に自発痛・圧痛あり.反跳痛なし.左鼠径部に3 cm程の隆起あり.
Q1:単純CT(図1,2)の異常所見は?
Q2:診断は? また,鑑別が必要な疾患は?
図1 腹部単純CT(横断像)
1
/
誌面掲載画像は赤枠で示す
最初
-
+
最後
図2 腹部単純CT(冠状断像)
1
/
誌面掲載画像は赤枠で示す
最初
-
+
最後
解答・解説を見る
プロフィール
石本聡史(Satoshi Ishimoto)
滋賀医科大学 放射線医学講座
井上明星(Akitoshi Inoue)
滋賀医科大学 放射線医学講座
おすすめ書籍
月刊
レジデントノート
最新号
次号案内
バックナンバー
連載一覧
定期購読案内
定期購読WEB版サービス
定期購読申込状況
レジデントノート
増刊
最新号
次号案内
バックナンバー
定期購読案内
residentnote
@Yodosha_RN
その他の羊土社のページ
ウェブGノート
実験医学online
教科書・サブテキスト
広告出稿をお考えの方へ
広告出稿の案内