画像診断Q&A

レジデントノート 2025年8月号掲載
【解答・解説】発熱,下腹部痛,意識障害を呈する70歳代女性

ある1年目の研修医の診断

CTでは熱源がはっきりしませんね.皮下に空気みたいな低濃度域が写っていますが,皮膚に近いから,なにか入ってしまうこともあるんですかね.

Answer

フルニエ壊疽

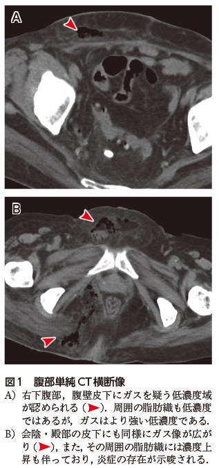
  • A1:右側会陰部の皮下や筋内などにガス像が認められる(図1).その周囲には強い脂肪織濃度上昇がみられる(図1B).
  • A2:フルニエ壊疽.

解説

フルニエ壊疽は,会陰部に発生する壊死性軟部組織感染症であり,比較的稀な疾患ではあるが,なかでも背景に糖尿病や肥満などの何らかの免疫抑制状態を有する高齢者に好発する.

男女差としては圧倒的に男性が多いことが知られている.陰嚢や会陰部の激痛,腫脹,発赤(赤黒いことも),発熱などが症状として認められ,しばしばガス産生を伴うこともあるため水疱形成も認められる.病変は急速に増悪し,敗血症性ショックなどに移行する致死率の高い予後不良な疾患であることから,早急な治療介入(デブリードマンや抗菌薬投与)が必要である.昨今では多剤耐性菌の感染の可能性も十分に考慮した抗菌薬の選択が求められる.

臨床的には,組織壊死に伴う会陰部を中心とした赤黒い腫脹(図2)と悪臭が特徴的である.特に深部での病変の広がりを評価するためにCTが撮影されることが多く,皮下や筋内などのガス像の検出が診断に有効である.造影CTでは大小の膿瘍形成が確認されることも多いが,あくまでもガス像が特徴と考えるとよい.単純CTではしばしば皮下脂肪とガスがともに黒く(低濃度)見えて判別が難しいことがあるが,骨条件などに条件を変えると区別しやすくなる(図3).MRIは軟部組織の炎症の範囲,膿瘍形成の有無など評価するのに有用ではあるが,ガスの検出についてはCTに劣るだろう.

本例を診療した際,冬季ということもあり,下着の上から腹部診察を行っており,当初は皮膚所見の異常に気づかなかった.診察の基本ではあるが,皮膚所見の確認も重要であり,必ず確認することが望ましい.また全身状態がすでに悪い状態で来院した高齢の発熱患者において,その原因として頻度から肺炎や尿路感染症が疑われ,フルニエ壊疽自体が見逃されるケースがある(肺のCT像が完全に正常な高齢患者は少ない).本例でも訴えは下腹部痛で,確かにそこに圧痛があったため,会陰の異常はCT撮影後に気づかれた.さらに一時期よりは少なくなったが,発熱患者を診療する際にN95マスク着用が求められることも多く,この疾患を想起する悪臭に気づきにくい場合もある.このように,非常に頻繁に遭遇する発熱患者であってもさまざまなピットフォールがあることに留意し,研修に臨む必要がある.

図1
図2
図3
  • 画像はクリック/タップで拡大します

プロフィール

山内哲司(Satoshi Yamauchi)
奈良県立医科大学 放射線診断・IVR学講座,教育開発センター
おすすめ書籍
  • 9784758127448
  • 9784758110860
  • 9784758124393
  • 9784758127394
  • 9784758127387
  • 9784758124362
  • 9784758124294
  • 9784758127332
  • 9784758124348
  • 9784758121774