画像診断Q&A

レジデントノート 2025年8月号掲載
【解答・解説】血痰を主訴に,肺野陰影の増大を伴って紹介受診した50歳代男性

ある1年目の研修医の診断

下行大動脈のシルエットが消失しているので左肺下葉に病変があることはわかります.抗菌薬治療で改善しないことからは肺がんの可能性を考えたいです.

Answer

肺放線菌症

  • A1:左下肺野縦隔側に,下行大動脈左縁とのシルエットサインが陽性となる腫瘤影を認める(図1).
  • A2:肺化膿症のほか,原発性肺がんなどの疾患を疑い,胸部CT検査および気管支鏡検査の再検を行う(図2図3).

解説

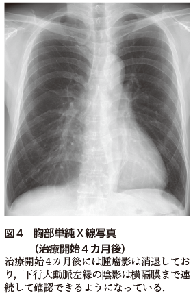
胸部単純X線写真では一見すると両肺野に明らかな異常陰影を指摘できないが,注意深く観察すると下行大動脈左縁の陰影が途切れていることがわかる(図1).このような所見をシルエットサインが陽性であると表現し,病変が下行大動脈と接していることを示している.このような心陰影と重なった結節影や腫瘤影を見つける際に,下行大動脈とのシルエットサインの有無はきわめて有用な所見である.胸部CTではS6からS10にかけて腫瘤を認め周囲に粒状影を伴っており(図2),また腫瘤に隣接する気管支の壁肥厚もみられる(図2).これらの画像所見から肺化膿症を含めた感染症が第一に疑われたものの,原発性肺がんを含めた他疾患との鑑別目的に気管支鏡検査を施行した.経気管支肺生検(transbronchial lung biopsy:TBLB)を行い,一般細菌および抗酸菌培養検査は陰性であったものの,組織診では膿瘍や炎症細胞浸潤のほかにグラム染色およびグロコット染色陽性となる桿菌を多数認め,肺放線菌症が疑われた(図3).本症例では経口ペニシリン系抗菌薬による内服治療を開始し,治療開始後約4カ月時点で胸部単純X線写真上の腫瘤影はほぼ消退した(図4).今後は計6~12カ月を目安に抗菌薬加療を継続する方針としている.

放線菌は口腔内常在菌であり肺放線菌症のリスク因子としてはアルコール多飲,口腔内不衛生,肺気腫や気管支拡張症などの呼吸器疾患の合併があげられる.本症例では,アルコール多飲がリスク因子と考えられる.胸部CTでは結節や腫瘤,コンソリデーションを形成することが多く,陰影の周囲にはすりガラス影を伴うことがある1).特に肺がんとの鑑別が臨床的に重要であり,外科的切除が行われてはじめて本症の診断に至った症例も多く報告されている2).治療としてはペニシリン系抗菌薬が第一選択薬であり,6~12カ月と長期間の投与を必要とする.

図1
図2
図3
図4
  • 画像はクリック/タップで拡大します

引用文献

  1. 「肺HRCTエッセンシャルズ -読影の基本と鑑別診断-」(Elicker BM & Webb WR/著,髙橋雅士/訳),pp232-233,メディカル・サイエンス・インターナショナル,2014
  2. 佐藤哲也,他:前縦隔腫瘍との鑑別を要した肺放線菌症の1例-本邦80例の臨床的集計-.日本胸部疾患学会雑誌,35:888-893,1997

プロフィール

北嶋 舜(Shun Kitajima)
国立国際医療センター 呼吸器内科
石田あかね(Akane Ishida)
国立国際医療センター 呼吸器内科
西村直樹(Naoki Nishimura)
国立国際医療センター 呼吸器内科
おすすめ書籍
  • 9784758127448
  • 9784758110860
  • 9784758124393
  • 9784758127394
  • 9784758127387
  • 9784758124362
  • 9784758124294
  • 9784758127332
  • 9784758124348
  • 9784758121774