画像診断Q&A

レジデントノート 2025年10月号掲載
【解答・解説】発熱2週間後に出現した咳嗽と呼吸困難で紹介となった60歳代男性

ある1年目の研修医の診断

両下肺野に浸潤影を認め,肺炎と考えます.胸部CTの追加や喀痰検査を行います.

Answer

器質化肺炎

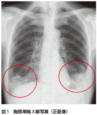
  • A1:胸部単純X線写真で両下肺野に浸潤影を認める(図1).
  • A2:陰影分布が広範にもかかわらず明らかな発熱や炎症反応上昇を認めないことから,非感染性肺炎を考慮し胸部CTを追加する.

解説

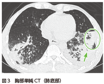
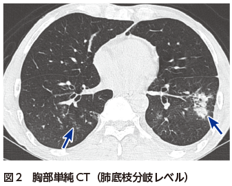
胸部単純X線写真では両下肺野に浸潤影を認める(図1).胸部CTでは両肺下葉の末梢気管支周囲に浸潤影およびすりガラス影の散在を認める(図2).肺底部は胸膜側優位に気管支透亮像を伴う広範な浸潤影を認める(図3).一部は非区域性に分布している(図3).

入院後,抗菌薬加療を開始するも自覚症状や画像所見に改善はなく,第4病日に気管支鏡検査を施行した.右下葉から採取した気管支肺胞洗浄液の分画はリンパ球比率が55%と,リンパ球優位であった.また,同部位で行った肺生検にて肺胞腔内の器質化物を認め,器質化肺炎と診断した.

器質化肺炎は,何らかの原因によって引き起こされた肺組織障害とその後の修復反応からなる病態である.肺胞に生じた炎症により肺胞腔内に肉芽組織が増殖し,気腔を閉塞する1).原因不明の特発性器質化肺炎と,感染症や薬剤性,誤嚥性など,原因が特定可能な二次性器質化肺炎に大別される.

器質化肺炎の陰影は,気管支血管束周囲や胸膜下に分布することが多く,斑状影や浸潤影を呈する.浸潤影は内部に気管支透亮像を伴う.しばしばその分布は非区域性(気管支の支配領域を横断する形の分布)である2)

一般的に,器質化肺炎はステロイド治療に対する反応性が良好な疾患として知られている.本症例もステロイドの内服を開始した結果,咳嗽,息切れは消失し,肺陰影も大きく改善した.

今回の器質化肺炎の原因に関しては,日常的にむせ込みを認めていたことから誤嚥性肺炎の関与を考えた.両肺下葉に散在する気道末端周囲のすりガラス影も,誤嚥性肺炎の吸い込み像として矛盾しない.入院後から術後逆流性食道炎予防として適応があるカモスタットメシル酸塩の内服を開始し,食後2時間は横にならないように生活指導を行った.これにより,食後の胸やけやむせ込みの症状に関しても改善が得られた.

器質化肺炎は比較的日常臨床で遭遇することが多い疾患である.特徴的な画像パターンから胸部CTで診断可能な場合もあるが,抗菌薬不応,あるいは炎症反応上昇が軽微といった,感染症らしさの乏しい亜急性経過の肺炎を認めた際は,器質化肺炎の可能性を考え,気管支鏡検査を検討する.

図1
図2
図3
  • 画像はクリック/タップで拡大します

引用文献

  1. King TE Jr & Lee JS:Cryptogenic Organizing Pneumonia. N Engl J Med, 386:1058-1069, 2022(PMID:35294814)
  2. 「胸部のCT 第4版」(村田喜代史,他/編),pp481-485,メディカル・サイエンス・インターナショナル,2018

プロフィール

井窪祐美子(Yumiko Ikubo)
JCHO東京山手メディカルセンター 呼吸器内科
徳田 均(Hitoshi Tokuda)
JCHO東京山手メディカルセンター 呼吸器内科
おすすめ書籍
  • 9784758127448
  • 9784758110860
  • 9784758124393
  • 9784758127394
  • 9784758127387
  • 9784758124362
  • 9784758124294
  • 9784758127332
  • 9784758124348
  • 9784758121774