画像診断Q&A

レジデントノート 2025年11月号掲載
【解答・解説】腹痛により受診された70歳代女性

Answer

魚骨(カレイ)による下行結腸穿通

  • A1:下行結腸
  • A2:下行結腸穿通.原因として魚骨などが考えられ,食事歴等を確認する.

〈その後の経過〉詳細に問診をすると,2日前にカレイを摂取しており,カレイの骨による下行結腸穿通と考えられた.絶食,抗菌薬による保存的治療を開始,3日後のCTにて魚骨は消失しており,排泄後と考えられた.1週間後には症状改善,2週間後に退院となった.

解説

消化管穿孔/穿通の原因には,消化性潰瘍,悪性腫瘍,閉塞による内圧上昇,憩室,虫垂炎,そして,異物などがあげられる.本邦の異物による消化管穿孔/穿通の原因として魚骨が最も多い.ほとんどの消化管内異物は自然に排泄されるが,スーパーボールや餅のような大きな異物では消化管閉塞,魚骨のような辺縁が鋭利な異物では穿孔/穿通を引き起こすことがある1)

魚骨誤飲が臨床的問題となるパターンとして,① 飲み込んですぐに咽頭部や頸部食道に刺さることによる頸部痛,② 消化管穿孔/穿通による急性腹症,③ 消化管外に逸脱した異物による膿瘍や肉芽形成による亜急性から慢性経過の発熱や腹痛,があげられる.膿瘍や肉芽を形成した場合は,しばしば腫瘍性病変と誤認される.

消化管穿孔/穿通および魚骨の診断にはCTが有用である.消化管穿孔/穿通の直接所見は消化管壁の不連続性であるが,穴が小さい場合は指摘が難しく,消化管外ガス像(間接所見)を契機に診断される場合が多い(図1).多量の消化管外ガス像を伴う症例は診断が容易であるが,微量のガス像のみを認める場合は見逃す恐れがある.ガスの分布は穿孔部位の推測に役立ち,後腹膜腔に広がるガスであれば十二指腸,上行結腸,下行結腸,直腸が原因として考えられる.なお,小腸穿孔,上行結腸穿孔は消化管外ガスの量が少ないことが知られている2)

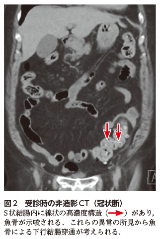
消化管穿孔/穿通と診断したら,その原因(腫瘍や異物)を考える.魚骨はCTで線状の高吸収域として描出されるが,軸位断のみではなく,thin slice(1 mm厚),冠状断や矢状断,multi planner reconstruction(MPR)像を確認することで,その構造を把握することができる(図2).

魚骨による消化管穿孔/穿通の大半は外科的治療が行われており,保存的治療が選択された症例は3%ほどとの報告もある3).本症例は後腹膜腔への穿孔症例であり,腹腔内への穿孔と比較して症状が軽度で,明らかな膿瘍形成を認めず,魚骨は体外に排泄されており,膿瘍や肉芽を形成するリスクが少ないと考えられ保存的加療が選択された.

急性腹症のCT読影では消化管外ガスを見逃さず,消化管穿孔/穿通を正しく診断することが重要である.消化管穿孔/穿通の原因となりうる異物として魚骨を提示したが,thin sliceや多断面からの観察が診断に寄与することを知っていただきたい.

図1
図2
  • 画像はクリック/タップで拡大します

引用文献

  1. Guelfguat M, et al:Clinical guidelines for imaging and reporting ingested foreign bodies. AJR Am J Roentgenol, 203:37-53, 2014(PMID:24951194)
  2. Drakopoulos D, et al:Correlation of gastrointestinal perforation location and amount of free air and ascites on CT imaging. Abdom Radiol (NY), 46:4536-4547, 2021(PMID:34114087)
  3. 葉 季久雄,他:術前に診断しえた魚骨による回腸穿孔の1治験例.日本消化器外科学会雑誌,34:1640-1644,2001

プロフィール

永野冬樹(Fuyuki Nagano)
京都岡本記念病院 放射線科
井上明星(Akitoshi Inoue)
滋賀医科大学 放射線科
おすすめ書籍
  • 9784758127448
  • 9784758110860
  • 9784758124393
  • 9784758127394
  • 9784758127387
  • 9784758124362
  • 9784758124294
  • 9784758127332
  • 9784758124348
  • 9784758121774