画像診断Q&A

レジデントノート 2025年12月号掲載
【解答・解説】胸部異常陰影で紹介となった70歳代男性

Answer

中枢型肺がん(腺がん)による左下葉無気肺

  • A1:左下葉無気肺の所見を認める(詳細は後述).
  • A2:左下葉無気肺の原因として中枢型肺がん,肺がん以外の気管支腫瘍,気管支異物,気管支結核などを考え,胸部CT検査や腫瘍マーカーを含めた血液検査,気管支鏡検査を行う.

解説

本症例は中枢型肺がんにより左下葉無気肺をきたした症例である.無気肺は ① 肺の含気減少ないし消失と ② 容積減少をきたした状態と定義される.特に肺葉性無気肺は臨床的に遭遇することも多く,その胸部単純X線写真(以下,胸部X線写真)所見を知っておくことは重要である.肺葉性無気肺の胸部X線所見の直接所見として,限局性の肺野透過性低下(① 肺の含気減少ないし消失による)と葉間裂の偏位(② 容積減少による)があり,間接所見として胸腔内構造の辺縁の不鮮明化(シルエットサイン陽性),横隔膜挙上,縦隔偏位,代償性過膨張,肺門偏位,肋間腔狭小化などがあげられる.

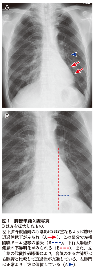
本症例の胸部X線写真では左下肺野縦隔側の心陰影にほぼ重なるように肺野透過性低下がみられ(図1A),この部分で左横隔膜の辺縁が消失し(図1B---),下行大動脈外側縁も不鮮明化している(図1B---).また含気のある左肺野は右肺野と比較し透過性が亢進しており,左上葉の代償性過膨張による変化と考えられる.さらに正常では右側より高い位置にある左肺門が下方に偏位している(図1A).これらの所見から左下葉無気肺と診断可能である.

胸部造影CTでは左下葉の中枢側に腫瘍と思われる領域が認められ(図2A),左下葉が無気肺となっている(図2A).両者は一塊となっており区別がつきにくいが,無気肺部分は腫瘍より造影効果がやや高く,内部には気管支内粘液栓を示す樹枝状の造影不良域がみられる(図2B).

造影CT所見から中枢型肺がんが疑われ,血液検査での肺がん関連の腫瘍マーカーはCEA 3,680 ng/mL,SLX 1,400 U/mL,CYFRA 4.9 ng/mLと上昇し,pro-GRPは43.4 pg/mLと正常範囲内であった.気管支鏡下生検が行われ,腺がんの病理診断であった.全身検索では脳転移,肝転移,骨転移を認め,cT3N2M1c2,StageⅣBと診断され,薬物療法が施行された.

図1
図2
  • 画像はクリック/タップで拡大します

プロフィール

筒井 伸(Shin Tsutsui)
長崎大学病院 放射線科
芦澤和人(Kazuto Ashizawa)
長崎大学大学院医歯薬学総合研究科 臨床腫瘍学分野
おすすめ書籍
  • 9784758127523
  • 9784758127448
  • 9784758110860
  • 9784758124393
  • 9784758127394
  • 9784758127387
  • 9784758124362
  • 9784758124294
  • 9784758127332
  • 9784758124348