画像診断Q&A

レジデントノート 2026年1月号掲載
【解答・解説】右大腿骨骨折を認めた70歳代女性

ある1年目の研修医の診断

右大腿骨近位骨幹部に骨折を認めます.あまり骨折することのない部位ですね.滑って転んだというのは本当でしょうか.左大腿骨は正常だと思います.

Answer

右大腿骨非定型骨折,左大腿骨非定型不全骨折

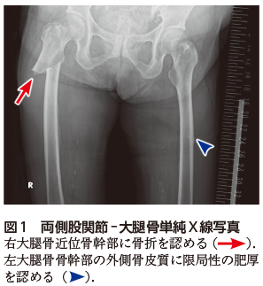
  • A1:右大腿骨近位骨幹部に転位を伴う骨折を認める(図1図2A).左大腿骨骨幹部の外側骨皮質に限局性の肥厚を認める(図1図2B).
  • A2:ビスホスホネート製剤(イバンドロン酸)による右大腿骨の非定型骨折および左大腿骨の非定型不全骨折.

解説

ビスホスホネート製剤は骨粗鬆症の治療に広く用いられ,骨粗鬆症患者の骨折予防の有用性が示されている.しかし10年以上の長期間使用例では,骨のリモデリング抑制から骨が生体力学的に脆弱化し,非定型大腿骨骨折の原因となることが知られている.非定型大腿骨骨折は,大腿骨の特定の部位に微小骨折が生じ,その部位の骨のリモデリング障害による治癒不全が主な原因であると考えられている1)

非定型大腿骨骨折は典型的な大腿骨骨折と異なり,部位や形態が特徴的である.The American Society for Bone and Mineral Research(ASBMR)は2010年に非定型大腿骨折の診断基準を作成し,2013年に改訂した().この診断基準は主要項目と副次項目からなり,5つの主要項目うち,少なくとも4つの主要項目が合致していれば,非定型大腿骨骨折と診断される1)

X線写真において,不全骨折の段階では大腿骨外側皮質にbeakingやflaringと呼ばれる限局性の肥厚を認める.完全骨折では外側骨皮質に端を発した骨を横断する骨折線を認める.ビスホスホネート製剤を長期内服中の患者で疼痛などの前駆症状の訴えがあるが,X線写真で診断がはっきりしない場合は,CT,MRI,骨シンチグラフィでの精査を考慮する.完全骨折を認める場合は外科的な治療を行う.以前は不全骨折に対しても外科治療が選択されていたが,近年ではビスホスホネート製剤を中止し,患肢への荷重を制限することで保存的に治療される.ただし,骨折が進行する場合や持続的な疼痛がある場合には,外科的治療が適応となる.このような治療方針のため,不全骨折の段階で指摘することは,患者のQOLを維持するうえで重要である2).今回の症例のように片側の非定型大腿骨骨折を認める場合は,対側にも非定型大腿骨不全骨折の画像所見がないか,外側骨皮質の肥厚に注意を払うことが大切である1)

図1
図2
表
  • 画像はクリック/タップで拡大します

引用文献

  1. Cho WT, et al:Atypical femoral fractures:an update. Journal of Musculoskeletal Trauma, 38:41-52, 2025
  2. Khan AA, et al:Atypical Femoral Fractures:A Teaching Perspective. Can Assoc Radiol J, 66:102-107, 2015(PMID:25051904)

プロフィール

関 晃吉(Kokichi Seki)
滋賀医科大学 放射線医学講座
井上明星(Akitoshi Inoue)
滋賀医科大学 放射線医学講座
おすすめ書籍
  • 9784758127523
  • 9784758127448
  • 9784758110860
  • 9784758124393
  • 9784758127394
  • 9784758127387
  • 9784758124362
  • 9784758124294
  • 9784758127332
  • 9784758124348