画像診断Q&A

レジデントノート 2026年1月号掲載
【解答・解説】2カ月前から出現した咳嗽,喘鳴と発熱で紹介となった70歳代女性

ある1年目の研修医の診断

左上中肺野に浸潤影を認めます.悪性腫瘍や細菌性肺炎を鑑別するため胸部CTを追加します.

Answer

アレルギー性気管支肺アスペルギルス症(ABPA)

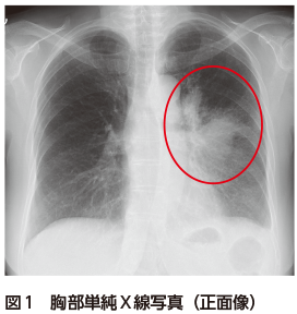
  • A1:胸部単純X線写真で左上中肺野に浸潤影を認める(図1).
  • A2:経過が月単位であり喘鳴を伴うことから,悪性腫瘍やアレルギー性気管支肺真菌症など感染症以外の疾患を鑑別疾患にあげ,胸部CTや血液検査を追加する.

解説

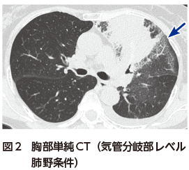
胸部単純X線写真では左上中肺野縦隔側に広範な浸潤影を認める(図1).胸部CTでは左上葉に,中枢から拡がる浸潤影を認め,周囲にすりガラス影を伴う(図2).胸部CT縦隔条件では,中枢気管支内に粘液栓を認め,内部のCT値が上昇している図3).いわゆる高吸収粘液栓(high attenuation mucus:HAM)の所見である.

喘息症状があり,末梢血好酸球数と非特異的IgEの上昇のほか,胸部CTでHAMを認めたことからアレルギー性気管支肺真菌症(allergic bronchopulmonary mycosis:ABPM)を疑った.精査の結果,アスペルギルス特異的IgEおよびアスペルギルスIgG抗体が陽性で,喀痰培養検査でAspergillus fumigatusが検出された.日本アレルギー学会のABPM診断基準を満たし,アレルギー性気管支肺アスペルギルス症(allergic bronchopulmonary aspergillosis:ABPA)と診断した.0.5 mg/kg相当の経口プレドニゾロンで治療を開始したところ,発熱・喘息症状はすみやかに消失し,画像所見も大幅に改善した.

ABPMは気道内に定着した真菌によって発症する慢性炎症性気道疾患であり,Ⅰ型・Ⅲ型アレルギー反応が関与している.真菌感染症とは異なり真菌の組織浸潤は認められず,菌体は気管支内粘液栓に限局している1)Aspergillus fumigatusが原因として最も多く,アスペルギルスが原因の場合にはABPAと呼ばれる.ABPMの特徴的な画像所見として,気管支内を充填する粘液栓・中枢性気管支拡張がある.約25%の症例では,真菌が酸化物として産生する鉄やマンガン,カルシウムが高吸収域(CT値で70 HU以上)として認識され,HAMとなる2)好酸球性肺炎を合併した例では,粘液栓の末梢に浸潤影やすりガラス影を認める2)

1977年にRosenbergらがABPAの診断基準を発表したが,診断基準を満たさないABPA症例が多数存在すること,アスペルギルス以外の真菌によるABPMに対応した診断基準がなかったことから,2020年にわが国のABPM研究班が作成したABPM診断基準が発表された.① 喘息の既往あるいは喘息様症状,② ピーク時の末梢血好酸球数が500/mm3以上,③ ピーク時の血清総IgE値が417 IU/mL以上,④ 糸状菌に対する即時型皮膚反応あるいは特異的IgEが陽性,⑤ 糸状菌に対する沈降抗体あるいは特異的IgGが陽性,⑥ 喀痰・気管支洗浄液で糸状菌培養が陽性,⑦ 粘液栓内の糸状菌染色が陽性,⑧ CTで中枢性気管支拡張がある,⑨ 粘液栓喀出の既往あるいはCT/気管支鏡で中枢気管支内粘液栓がある,⑩ CTでHAMを認める,の10項目中6項目以上を満たす場合にABPMと診断する1)

治療は経口ステロイドやアゾール系経口抗真菌薬での薬物療法が中心となる.抗真菌薬は効果発現に時間を要するため,喘息症状の悪化を伴う症例では,経口ステロイドで治療を開始する.しかしステロイド減量・中止により再燃する例も多く,再燃例では積極的に抗真菌薬を併用する.

図1
図2
図3
  • 画像はクリック/タップで拡大します

引用文献

  1. 浅野浩一郎:アレルギー性気管支肺真菌症の診療の手引き.アレルギー,69:164-168,2020
  2. 「胸部のCT 第4版)(村田喜代史,他/編),pp377-379,メディカル・サイエンス・インターナショナル,2018

プロフィール

井窪祐美子(Yumiko Ikubo)
JCHO東京山手メディカルセンター 呼吸器内科
徳田 均(Hitoshi Tokuda)
JCHO東京山手メディカルセンター 呼吸器内科
おすすめ書籍
  • 9784758127523
  • 9784758127448
  • 9784758110860
  • 9784758124393
  • 9784758127394
  • 9784758127387
  • 9784758124362
  • 9784758124294
  • 9784758127332
  • 9784758124348