画像診断Q&A

レジデントノート 2026年2月号掲載
【解答・解説】咳嗽,胸部異常陰影で紹介受診した70歳代女性

ある1年目の研修医の診断

右中肺野に結節影を認めます.肺がんを疑い,腫瘍マーカーなどの血液検査を追加,CTを施行します.

Answer

肺クリプトコッカス症

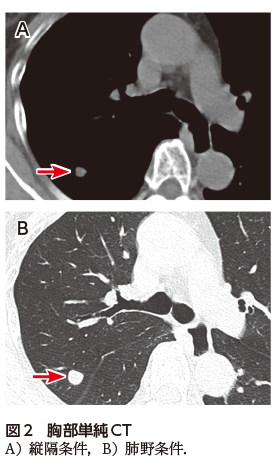
  • A1:胸部単純X線写真で右中肺野に結節影を認める(図1).
  • A2:肺がんの可能性を考え,腫瘍マーカー,体幹部造影CT,可能であれば気管支鏡検査を行う.境界明瞭な結節影なので,肺クリプトコッカス症も鑑別に入れ,血清クリプトコッカス抗原の測定を考慮する.

解説

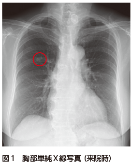
胸部単純X線写真では右中肺野に右第7肋骨に重なって楕円形の結節影を認めた(図1).胸部CTでは右上葉S2の葉間胸膜直下に13 mmの境界明瞭な円形の結節を認めた.内部の濃度は不均一で,血管収束像や分葉状の辺縁は認めなかった(図2A,B).PET-CTでは同部位にSUVmax 12.56のFDG集積を認めた(図3).腫瘍マーカーは正常であった.CTでbronchus sign陽性の気管支は存在しなかったため,気管支鏡検査は施行せず,肺がんcT1bN0M0 StageⅠA2疑いとして診断・治療目的で右肺S2区域切除術を施行した.病理検査では多数の多核巨細胞を含む組織球が集簇した肉芽腫性の病変を認め,一部に変性壊死を起こしていた.Grocott染色で組織球に貪食される無数の酵母状真菌が観察され,肺クリプトコッカス症の診断となり,手術で病変は切除できているので無治療も選択肢だったが,患者と相談し,フルコナゾールの内服を開始した.

肺クリプトコッカス症はクリプトコッカス属真菌による感染症である.感染すると組織球が活性化して肉芽腫が形成され,真菌を封じ込める.CTでは肉芽腫形成を反映した結節を認める.同一肺葉内に多発する場合もあるが,本症例のような孤立性結節は,原発性肺がんとの鑑別が難しい.肺クリプトコッカス症のCT所見の特徴として,境界明瞭,胸膜直下が好発部位,空洞形成を伴うことがある,などがあげられる.しかし,spiculation,胸膜嵌入像,末梢血管の収束像,PET-CTでのFDG集積といった肺がんと酷似する所見を示すこともある1)

診断は,肺生検や気管支洗浄液の検体からの分離培養,病理学的な菌体同定によって行われる.また,血清クリプトコッカス抗原の測定が有用であることが知られており,本症例のように境界明瞭な結節の症例では,肺クリプトコッカス症を鑑別にあげて,測定を行うことを考慮する.ただし,孤立性結節の場合には陰性になることも多いため,あくまでも補助診断となる2)

健常人に発症した髄膜炎を伴わない限局性の肺クリプトコッカス症の治療は,フルコナゾール400 mg/日を3カ月間内服することが推奨されている.免疫不全者では肺以外の臓器(特に中枢神経系)に播種することがあり,髄膜炎合併症例ではアムホテリシンBの点滴静注とフルシトシン経口投与の併用,それに続くフルコナゾール経口投与が推奨されている.

図1
図2
図3
  • 画像はクリック/タップで拡大します

引用文献

  1. Igai H, et al:Computed tomography (CT) and positron emission tomography with [18F]fluoro-2-deoxy-D-glucose (FDG-PET) images of pulmonary cryptococcosis mimicking lung cancer. Eur J Cardiothorac Surg, 30:837-839, 2006(PMID:17056268)
  2. 加藤貴子,他:肺クリプトコッカス症の臨床的検討.日本呼吸器学会雑誌,43:449-453,2005

プロフィール

杉野美緒(Mio Sugino)
国立国際医療センター 呼吸器内科
西村直樹(Naoki Nishimura)
国立国際医療センター 呼吸器内科
おすすめ書籍
  • 9784758127523
  • 9784758127448
  • 9784758110860
  • 9784758124393
  • 9784758127394
  • 9784758127387
  • 9784758124362
  • 9784758124294
  • 9784758127332
  • 9784758124348