画像診断Q&A

レジデントノート 2026年3月号掲載
【解答・解説】内視鏡的乳頭括約筋切開術後に血便と貧血進行を認めた70歳代男性

Answer

内視鏡的乳頭括約筋切開術による仮性動脈瘤からの出血

  • A1:胆道内(胆管内と胆嚢内)
  • A2:血管造影検査と経動脈的塞栓術(transarterial embolization:TAE)

〈臨床経過〉
腹部CT(図1)にて十二指腸乳頭部仮性動脈瘤による胆道出血と診断され,緊急血管造影検査を施行した(図2).前上膵十二指腸動脈の仮性動脈瘤が明らかとなり金属コイルを用いた塞栓術が施行された.その後,再出血なく,貧血は改善し退院となった.

解説

仮性動脈瘤は血管壁の全層断裂により周囲組織が血液を囲い込み形成される動脈瘤で,主に中膜の病変により内腔の拡大をきたし全層性に形成される真性動脈瘤とは病態が異なる.脆弱で破綻しやすく,消化管内で破綻すると消化管出血,腹腔内で破綻すると腹腔内出血をきたし,大量出血により致死的となるため,血管外漏出像(extravasation)に準じた迅速な診断・治療が必要な疾患である1,2)

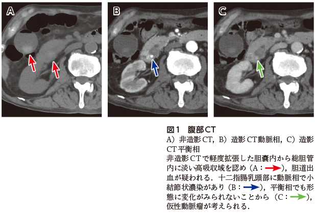
仮性動脈瘤の診断は造影CTに基づいて行われることが多い.非造影CTで消化管内腔あるいは消化管近傍の高濃度域は血腫を示唆し,造影CTの動脈相で点状や結節状の造影効果を示し,平衡相でも造影剤の形態が変化しない(図1).一方,血管外漏出像は動脈相から後期相にかけて造影剤の形態が拡大するものをいう3).責任血管は造影CTで同定できることもあるが,空間分解能,時間分解能に制限があり,難渋することもある.確定診断および治療には,診断と同時に治療(塞栓術)が可能な血管造影検査が選択されることが多い.

本症例では入院中に血便および貧血の進行が出現しており,症状出現に先行して施行されたESTによる血管損傷が原因として考えられ,不安定な仮性動脈瘤から間欠的に出血をくり返していたと考えられる.EST後出血の頻度は比較的稀とされており,なかでも重大なものは0.3〜2.0%程度と報告されている.これらには大量出血,血腫,仮性動脈瘤が含まれており,仮性動脈瘤単独の発生率はさらに低いと考えられている1,2)

消化管出血,特に活動性動脈性出血は高い致死率を伴うが,画像所見から出血源や原因を同定できれば,すみやかに治療に移行し救命しうる疾患である.仮性動脈瘤の画像所見について熟知し,血管外漏出像に準じた対応が必要であることを知っておきたい.

図1
図2
  • 画像はクリック/タップで拡大します

引用文献

  1. Connie Ju et al:Visceral Artery Aneurysms and Pseudoaneurysms:Etiology, Diagnosis, and Endovascular Management. Digestive Disease Interventions, 2:256-265, 2018
  2. 奥脇徹也,他:内視鏡的乳頭括約筋切開後に後上膵十二指腸動脈瘤を形成し,経カテーテル的動脈塞栓術にて止血し得た1例.日本消化器内視鏡学会雑誌,62:696-701,2020
  3. Martí M, et al:Acute lower intestinal bleeding:feasibility and diagnostic performance of CT angiography. Radiology, 262:109-116, 2012(PMID:22084211)

プロフィール

神谷 梓(Azusa Kamitani)
公立甲賀病院 放射線科
井上明星(Akitoshi Inoue)
滋賀医科大学 放射線科
おすすめ書籍
  • 9784758127523
  • 9784758127448
  • 9784758110860
  • 9784758124393
  • 9784758127394
  • 9784758127387
  • 9784758124362
  • 9784758124294
  • 9784758127332
  • 9784758124348