レジデントノートウェビナー「絶対に見逃してはいけない画像診断 〜異常所見に気づけるか?読影力を腕試し!」

本ウェビナーは終了しました

「何度も読影したのに異常所見の見逃しがあると知らされてゾッとした…」皆さんはこのような経験がありますか?また自分の読影力がどれくらいか,知りたいと思ったことはありませんか?

本ウェビナーでは,提示された画像について「異常所見はどこか?」「考えられる疾患名は何か?」などのクイズ形式で考えながら,ご自身の今の実力や読影のポイントがチェックできます.また誌面の都合上,レジデントノート7月号の特集では取り上げられなかった「絶対に見逃してはいけない画像所見」も特別に紹介・解説いただきます.忙しい研修医の皆さまにピッタリな,短時間で実力アップにつながるウェビナーです.ぜひご参加ください.

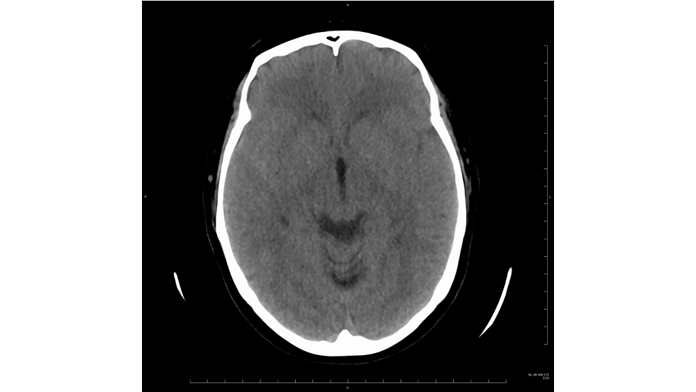
ここで当日,出題予定の問題を少しだけ紹介します.皆さんは何を選ばれますか?
ぜひ考えてみてください.
Question
40歳代女性.テレビを見ていたときに突然の後頭部痛-後頚部痛を自覚し,当院救急外来を受診した.撮影されたCTを提示する.考えられる診断は何か?
  • くも膜下出血
  • 急性硬膜下出血
  • 転移性脳腫瘍
  • 異常なし

正解と思われる番号をクリックしてください

(ご回答には羊土社会員でログインして頂く必要がございます)

気になる正解はウェビナーで!

開催概要

開催日時 2021年6月29日(火)19:30〜20:15 (開場19:20)
  1. ※ 当日の進行次第で時間延長する可能性がございますことをご了承ください
申込締切 2021年6月28日(月)14:00
講師
  • 藪⽥ 実 先生
    (聖路加国際病院 放射線科)

対象 初期研修医,専攻医
  • 画像診断でゾッとした経験がある方
  • 画像診断の腕試しをしたい方
配信方法 Zoom
(参加に必要なシステム環境はこちらをご確認ください)
  1. ※ ご参加方法を開催日前日までにメールにてご案内いたします
参加費 無料
  1. ※ 「羊土社会員」と「お知らせメール:レジデントノート」にご登録(無料)いただきます
定員 200名 500名(好評につき会場拡大・先着順)
備考 お手続き後のメールが届かない方は,お問い合わせフォームよりご連絡ください

本ウェビナーは終了しました