画像診断Q&A

レジデントノート 2026年5月号掲載
【解答・解説】成人Still病の治療経過中に出現した多発結節影のため紹介受診した70歳代男性

ある1年目の研修医の診断

両側肺野に結節影を多数認めます.がんの肺転移を鑑別に考え,腫瘍マーカーなどの血液検査,胸部CT検査を行います.

Answer

侵襲性肺アスペルギルス症

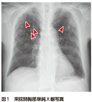
  • A1:肺野に多発する結節影を認める.結節影は一部空洞を伴っている.
  • A2:免疫抑制状態にある患者における空洞を伴う多発結節影の鑑別診断として,敗血症性肺塞栓や肺真菌症を鑑別上位に考え,β-Dグルカンやアスペルギルス抗原/抗体などの血液検査,胸部CT検査,気管支鏡検査を行う.

解説

本症例は,成人Still病に対して高用量ステロイドが長期投与され,易感染性宿主となった患者に発症した侵襲性肺アスペルギルス症(invasive pulmonary aspergillosis:IPA)の一例である.胸部単純X線写真では両側肺野に多発する結節影を認め,一部は空洞形成を伴っていた(図1).

結節影の空洞形成は鑑別診断上の重要な手がかりとなることから,胸部画像評価では意識的に読影することが求められる.空洞を伴う多発結節影を呈する疾患としては,IPAや肺ムコール症などの深在性真菌症のほか,敗血症性肺塞栓,肺梗塞,悪性腫瘍の肺転移,多発血管炎性肉芽腫症(granulomatosis with polyangiitis:GPA)などが重要な鑑別にあげられる.特に本症例のような易感染性宿主では,感染症を念頭に置いた評価が必要である.一方で,悪性リンパ腫やCastleman病等のリンパ増殖性疾患も同様に多発結節影を呈することがあるが,空洞形成を伴うことは稀である.

本症例では,胸部CTにおいて散在性に結節影を認め,多くは内部に三日月状の透亮像を伴っていた(図2).血液検査ではβ-Dグルカン141.9 pg/mL,アスペルギルス抗原4.7(陽性)であり,IPAを疑い気管支鏡検査を施行した.気管支洗浄液培養でAspergillus fumigatusが同定され,病理組織学的には壊死に陥った気管支軟骨の周囲や内部に真菌が取り囲むように増殖している所見を認めた(図3).以上よりIPAと診断した.

IPAの胸部CT所見としては,結節影,浸潤影,楔状陰影を呈することが多い.発症早期には血管侵襲に伴う周囲出血を反映し,結節周囲にすりガラス影(halo sign)を伴うことがある.病勢の進行により壊死巣が空洞化し,あるいは血球減少患者の好中球回復期には,空洞内に三日月状透亮像(air-crescent sign)が出現することが知られている1).本症例ではair-crescent signを伴う多発結節影を呈し,好中球回復期のIPAとして合致するCT所見であった.さらに病理学的にもアスペルギルスの組織浸潤が観察された.

治療としてはボリコナゾールを開始し,両側上葉の空洞性病変は残存したものの,その他の多発結節影は消退した.

図1
図2
図3
  • 画像はクリック/タップで拡大します

引用文献

  1. Patterson TF, et al:Practice Guidelines for the Diagnosis and Management of Aspergillosis:2016 Update by the Infectious Diseases Society of America. Clin Infect Dis, 63:e1-e60, 2016(PMID:27365388)

プロフィール

波多野裕斗(Hiroto Hatano)
国立国際医療センター 呼吸器内科
西村直樹(Naoki Nishimura)
国立国際医療センター 呼吸器内科
おすすめ書籍
  • 9784758127523
  • 9784758127448
  • 9784758110860
  • 9784758124393
  • 9784758127394
  • 9784758127387
  • 9784758124362
  • 9784758124294
  • 9784758127332
  • 9784758124348